Case Report
 
Uterine smooth muscle tumor of uncertain malignant potential: A still debated entity
Asmaa Kouadir1, Abderrahmane El Mazghi2, Khalid Hassouni3
1Resident Doctor, department of Radiotherapy Hassan II University Hospital, Faculty of Medicine and Pharmacy of Fez, Sidi Mohamed Ben Abdellah University, Fez, Morocco
2Associate Professor, department of Radiotherapy Hassan II University Hospital, Faculty of Medicine and Pharmacy of Fez, Sidi Mohamed Ben Abdellah University, Fez, Morocco
2Professor and head of the department, department of Radiotherapy Hassan II University Hospital, Faculty of Medicine and Pharmacy of Fez, Sidi Mohamed Ben Abdellah University, Fez, Morocco

Article ID: 100024Z08AK2017
doi:10.5348/Z08-2017-24-CR-4

Address correspondence to:
Asmaa Kouadir
Bd urbain, Résidence Gourrama, 2ème étage
n°4, Zohour 2, FES, Maroc
FEZ
Morocco

Access full text article on other devices

  Access full PDF of article on other devices

[HTML Abstract]   [PDF Full Text] [Print This Article]
[Similar article in Pumed] [Similar article in Google Scholar]

How to cite this article:
Kouadir A, El Mazghi A, Hassouni K. Uterine smooth muscle tumor of uncertain malignant potential: A still debated entity. J Case Rep Images Gynecol Obstet 2017;3:13–18.


ABSTRACT
Introduction: Uterine smooth muscle tumors of uncertain malignant potential (STUMPs) are mesenchymal tumors that have been the subject of only a small number of published cases. According to the current World Health Organization classification, uterine STUMP corresponds to an uterine smooth muscle tumor which is not diagnosed unequivocally as benign or malignant. Diagnosis, surgical management and follow-up of these tumors are still controversial.
Case Report: Herein, we describe a case of 44-year-old perimenopausal woman who presented with complaint of isolated progressive pelvic pain. Gynecological examination revealed an enlarged uterus with a bulging mass in the pouch of Douglas. Pelvic ultrasound and pelvic computed tomography scan showed multiple intramural myomas with one large posterior subserosal myoma associated with a suspected ovarian cyst. The patient underwent an exploratory laparotomy with total hysterectomy associated with left adnexectomy and right salpingectomy. On histopathological examination, the diagnosis of uterine STUMP was established. After carrying out a postoperative staging workup which was negative, the patient was kept on a close follow-up schedule. Two years after surgery, the patient is still disease free.
Conclusion: Uterine STUMPs are rare tumors that present a diagnostic challenge for both clinician and pathologist. Immunohistochemical examination seems to be hopeful technique for well diagnosing these tumors as well as identifying those with high risk of recurrence. Due to the possibility of delayed recurrences associated with the prolonged survival rate, long-term surveillance is currently required for women diagnosed with STUMPs.

Keywords: Immunochemistry, Recurrences, Smooth muscle Tumors, Uncertain Malignant Potential, Uterus


INTRODUCTION

The term smooth muscle tumor of uncertain malignant potential (STUMP) which was first used in the literature by Kempson in 1973, contains a heterogeneous group of rare tumors that have been the subject of only a small number of published cases [1]. According to the classification system of uterine smooth muscle tumors proposed by Bell et al. tumors that do not meet histologic definitions of neither conventional leiomyosarcomas (LMS) nor leiomyomas are classified as STUMP [2].

Studying uterine STUMPs can be difficult for both clinicians and pathologists because of the rarity of these diseases [1][2]. Actually, clinical behavior as well as the risk factors of these tumors is poorly understood [2].

Recently, it has been suggested that immunohistochemistry may be helpful in the diagnosis of STUMPs as it may be also helpful in the prediction of their clinical behavior [1].


CASE REPORT

A 44-year-old perimenopausal woman who has no past medical history of disease or surgery, presented with complaint of progressive pelvic pain over one year period. There was no associated metrorrhagia or any other symptom. Gynecological examination revealed an enlarged uterus with a bulging mass in the pouch of Douglas; the uterine cervix was macroscopically normal.

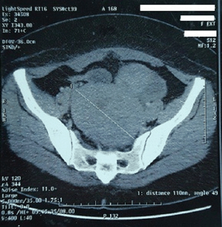
Pelvic ultrasound showed a globular uterus with irregular contours, containing multiple intramural myomas. Pelvic computed tomography (CT) scan confirmed the findings of multiple intramural myomas with one large 10x8 cm posterior subserosal myoma, associated with a suspected ovarian cyst measuring 80 mm of diameter (Figure 1).

The patient subsequently underwent an exploratory laparotomy. Actually, a midline incision was carried out, through which we found an enlarged globular uterus with one large posterior subserosal myoma of almost similar dimensions found on pelvic CT scan, which was enclaved in the pouch of Douglas. There was an associated left ovarian cyst measuring 5 cm of diameter with smooth wall but without endocytic or exocytic vegetations. Thus, a total abdominal hysterectomy with left salpingo-oophorectomy and right salpingectomy were therefore performed.

On gross examination, the uterine body measured 13x23x5 cm. On section there were several whitish, fasciculated and firm intramural masses.

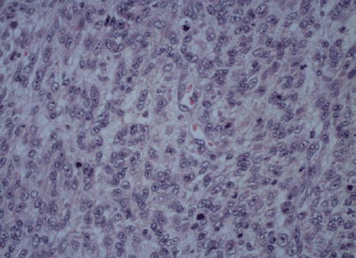
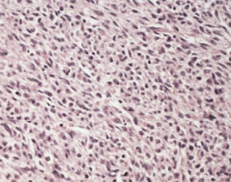
Histopathological examination revealed a tumorous proliferation with fasciculated appearance made up of smooth muscle cells with diffuse moderate to severe atypia (Figure 2). Some fields contained quite numerous mitoses, but the mitotic count did not exceed eight to nine mitoses per ten high power fields (Figure 3). Furthermore, tumor proliferation was dissociated by enlarged foci of fibrosis. There was no tumor necrosis. On the other hand, both of the cervix, the endometrium, the fallopian tubes and the left ovary were substantially normal. According to these histologic findings, our case was diagnosed as uterine smooth muscle tumor of uncertain malignant potential (STUMP).

Postoperative staging was done by chest X-ray, abdominal and pelvic computerized tomography (CT) scans, all of which were negative.

No adjuvant therapy was performed and the patient was kept on a close follow-up schedule, with gynecological examinations every six months, and chest X-ray and computed tomography (CT) scan of the abdomen and pelvis every year. Two years after surgery, the patient is still disease free.


Cursor on image to zoom/Click text to open image
Figure 1: Post-contrast pelvic computed tomography scan showing enlarged myomatous uterus.



Cursor on image to zoom/Click text to open image
Figure 2: Smooth muscle proliferation with moderate atypia (H&E stain, x200).



Cursor on image to zoom/Click text to open image
Figure 3: A mitotic index of eight to nine mitoses per ten high power fields (H&E stain, x400).



DISCUSSION

The term STUMP was first used by Kempson in 1973 for tumors that were clinically malignant, but by using the available diagnostic criteria at the time, a correct diagnosis of sarcomas could not have been made. The histologic criteria used currently to diagnose malignant smooth muscle tumor (Leiomyosarcoma) were first proposed in 1994 by a group of investigators at Stanford, and are frequently referred to as the ‘Stanford criteria’ which include at least two of the following criteria: diffuse moderate-to severe atypia, a mitotic count of at least 10 mitotic figures (MF)/10 high power fields (HPFs) and tumor cell necrosis. According to the current World Health Organization (WHO) classification, the diagnosis of uterine STUMP is appropriate, when a tumor shows any unusual combinations of histologic features that do not satisfy the Stanford criteria for leiomyosarcomas (LMS) [3][4][5][6] .

STUMPs are extremely rare but their exact incidence is not known [7] . The risk factors and biological events that lead to STUMP remain poorly understood and subsequent clinical behavior remains therefore difficult to predict [5]. The clinical presentation of STUMPs is similar to uterine leiomyomas and LMS. Typical clinical features may include abnormal vaginal bleeding, rapidly growing pelvic mass, pressure symptoms and pelvic pain [4][5]. In addition, median age at presentation is similar in patients diagnosed with LMS as well as in those affected with benign leiomyomas [5]. On the other hand, uterine STUMPs are also indistinguishable from benign leiomyomas and LMS at diagnostic imaging techniques. Therefore, uterine STUMPs present a diagnostic challenge for the clinician [4].

The diagnosis of STUMPs is usually made after hysterectomy or myomectomy using the Stanford 3-feature histologic criteria of atypia, mitotic index, and type of necrosis [4][6]. Nuclear atypia is assessed with the 10X objective and is significant if it is moderate to severe.

The mitotic index corresponds to the maximum mitotic count evaluated in ten consecutive fields with the 40X objective. It is significant beyond ten mitoses per 10 HPF. Tumor necrosis is the most difficult criterion to assess. It is a geographical necrosis with clear contours and abrupt transition from perennial area to tumor area. It affects tumor cells, but spares the vessels present within the necrosis area. Bell et al. noted that all three morphologic features present interpretive difficulties over a certain range, so they proposed a trivariate approach. Thus, they subdivided STUMPs into three histologically distinct groups. The first group of tumors, termed ‘smooth muscle tumor of low malignant potential,’ contains tumors characterized by a mitotic index of less than 10 MF/10 HPF, absent to mild cytologic atypia, and presence of coagulative tumor cell necrosis. The second group, termed ‘atypical leiomyoma with low risk of recurrence,’ shows no coagulative tumor cell necrosis, diffuse moderate to severe atypia, and less than 10 MF/10 HPF. The third group, termed ‘atypical leiomyoma but experience limited,’ has a mitotic index of less than 20 MF/10 HPF, focal moderate to severe cytologic atypia, and absence of coagulative tumor cell necrosis. Another definition of STUMPs has been given by Mulayim and Gucer who considered as STUMPs, neoplasms that are histologically characterized by non significant atypia, presence of coagulative tumor cell necrosis, and a mitotic index of less than 10 MF/10 HPF, as well as the neoplasms characterized by significant atypia, absence of coagulative tumor cell necrosis, and a mitotic index of less than 5 MF/10 HPF [6][8][9].

However, due to the scarcity of the disease as well as the requirement to have a certain level of expertise in gynecological pathology, diagnosis of these tumors could be difficult for pathologists [10]. Regarding immunohistochemistry, it has been suggested that it may be useful in the diagnosis of STUMPs as well as in the prediction of their clinical behavior [1][11].

Actually, there was a statistically significant difference in both p16 and p53 staining frequency and intensity between leiomyomas and STUMPs on the one hand and LMS on the other; leiomyosarcomas were exhibiting stronger and more frequent reactivity. There was no significant difference in staining frequency or intensity between leiomyomas and STUMPs [10]. Moreover, as it has been reported that tumors regarded as STUMPs, followed by recurrence, are associated with diffuse immunoreactivity for p16 and p53, recent studies have suggested the use of immunohistochemical stains, including these proteins to identify uterine smooth muscle tumors with a higher risk of recurrence [1][3] .

In terms of therapeutic management, STUMP treatment is based on surgical excision [1][2][3][4][5][7] . However, because of the paucity of cases, there are no approved standard protocols for the management of patients with suspected STUMPs. Some authors indicate that STUMP should be managed in a conservative manner with appropriate follow-ups, especially for large tumors containing severely atypical cells in a diffuse distribution. Thus, hysterectomy is considered as a gold standard for women who have completed their childbearing, due to the proved possibility of recurrence. For women who wish to preserve fertility, myomectomy could be sufficient, but patients should be informed of the risk of recurrence, and should be carefully followed-up [3][5]. Furthermore, to date, there is no study suggesting adjuvant therapy to prevent recurrence [1][3][5][7]. On the other hand, although it has been reported that women with STUMPs had prolonged survival rate when compared to those with LMS, there are no standard guidelines for follow-up for these patients. Ip et al. suggested a follow-up interval of a minimum of every six months until the fifth year and, thereafter, annual surveillance for a further five years. Each visit should include symptom checking and a general and pelvic examination. Diagnostic imaging techniques should be performed at least once a year including chest X-ray to exclude metastasis whereas pelvic ultrasound scan, computed tomography or magnetic resonance imaging may be used to detect any new lesions [3][5]. In our case, patient underwent hysterectomy then she was kept on a follow-up program with biannual clinical examination and annual chest X-ray and abdominopelvic CT scan.

Recurrence rates for uterine STUMPs are not well known. In a review limited to studies that used the Stanford diagnostic criteria, Ip et al. reported a STUMP recurrence rate of approximately 11% (10 out of 91 cases) [7][12]. An interesting observation is that patients affected by STUMPs complicated by subsequent disease recurrence were younger than those with an uneventful follow-up [5]. These tumors may recur either as STUMPs or as LMS and recurrence may occurs in a variety of anatomic locations such as pelvis, abdomen, liver, lungs, lymph nodes, humerus, retroperitoneum and uterus if hysterectomy was not previously performed. Moreover, the interval to recurrence may vary from 1.25–9 years [3][4][5].

To date, there is no predictive feature of recurrence suggested except immunohistochemical staining. Actually, Ip et al. reported in a clinicopathologic study of 16 cases that STUMPs with recurrence had positive p16 and p53 immunoreactivity in higher than 66% of tumor cells. Thus, the authors suggest the potential role of immunohistochemistry of p16 and p53 in identifying the more aggressive form of STUMPs [1][5].

The treatment of choice for recurrence is surgical excision followed-by adjuvant therapy, such as pelvic irradiation, chemotherapy, and hormonotherapy. Such adjuvant therapy seems to be efficient, even if no eventful clinical course has been reported in its absence [1].


CONCLUSION

Uterine STUMPs are rare tumors that present a diagnostic challenge for both clinician and pathologist. Immunohistochemical examination seems to be hopeful technique for well diagnosing these tumors as well as identifying those with high risk of recurrence. Due to the possibility of delayed recurrences associated to the prolonged survival rate, long-term surveillance is currently required for women diagnosed with STUMPs.


REFERENCES
  1. Ip PP, Cheung AN, Clement PB. Uterine smooth muscle tumors of uncertain malignant potential (STUMP): A clinicopathologic analysis of 16 cases. Am J Surg Pathol 2009 Jul;33(7):992–1005.   [CrossRef]   [Pubmed]    Back to citation no. 1
  2. Guntupalli SR, Ramirez PT, Anderson ML, Milam MR, Bodurka DC, Malpica A. Uterine smooth muscle tumor of uncertain malignant potential: A retrospective analysis. Gynecol Oncol 2009 Jun;113(3):324–6.   [CrossRef]   [Pubmed]    Back to citation no. 2
  3. Ip PP, Cheung AN. Pathology of uterine leiomyosarcomas and smooth muscle tumours of uncertain malignant potential. Best Pract Res Clin Obstet Gynaecol 2011 Dec;25(6):691–704.   [CrossRef]   [Pubmed]    Back to citation no. 3
  4. Vilos GA, Marks J, Ettler HC, Vilos AG, Prefontaine M, Abu-Rafea B. Uterine smooth muscle tumors of uncertain malignant potential: Diagnostic challenges and therapeutic dilemmas. Report of 2 cases and review of the literature. J Minim Invasive Gynecol 2012 May-Jun;19(3):288–95.   [CrossRef]   [Pubmed]    Back to citation no. 4
  5. Dall'Asta A, Gizzo S, Musarò A, et al. Uterine smooth muscle tumors of uncertain malignant potential (STUMP): Pathology, follow-up and recurrence. Int J Clin Exp Pathol 2014 Oct 15;7(11):8136–42.   [Pubmed]    Back to citation no. 5
  6. Bell SW, Kempson RL, Hendrickson MR. Problematic uterine smooth muscle neoplasms. A clinicopathologic study of 213 cases. A clinicopathologic study of 213 cases. Am J Surg Pathol 1994 Jun;18(6):535–58.   [Pubmed]    Back to citation no. 6
  7. Mowers EL, Skinner B, McLean K, Reynolds RK. Effects of morcellation of uterine smooth muscle tumor of uncertain malignant potential and endometrial stromal sarcoma: Case series and recommendations for clinical practice. J Minim Invasive Gynecol 2015 May–Jun;22(4):601–6.   [CrossRef]   [Pubmed]    Back to citation no. 7
  8. Mulayim N, Gucer F. Borderline smooth muscle tumors of the uterus. Obstet Gynecol Clin North Am 2006 Mar;33(1):171–81.   [CrossRef]   [Pubmed]    Back to citation no. 8
  9. Berretta R, Rolla M, Merisio C, Giordano G, Nardelli GB. Uterine smooth muscle tumor of uncertain malignant potential: A three-case report. Int J Gynecol Cancer 2008 Sep–Oct;18(5):1121–6.   [CrossRef]   [Pubmed]    Back to citation no. 9
  10. Basaran D, özgül N, Selçuk I, et al. Uterine smooth muscle tumors of unknown malignant potential (STUMP): A dilemma for gynecologists and pathologists. Gynecol Obstet Reprod Med 2013;19:55–57.    Back to citation no. 10
  11. O'Neill CJ, McBride HA, Connolly LE, McCluggage WG. Uterine leiomyosarcomas are characterized by high p16, p53 and MIB1 expression in comparison with usual leiomyomas, leiomyoma variants and smooth muscle tumours of uncertain malignant potential. Histopathology 2007 Jun;50(7):851–8.   [CrossRef]   [Pubmed]    Back to citation no. 11
  12. Ip PP, Tse KY, Tam KF. Uterine smooth muscle tumors other than the ordinary leiomyomas and leiomyosarcomas: A review of selected variants with emphasis on recent advances and unusual morphology that may cause concern for malignancy. Adv Anat Pathol 2010 Mar;17(2):91–112.   [CrossRef]   [Pubmed]    Back to citation no. 12

[HTML Abstract]   [PDF Full Text]

Author Contributions
Asmaa Kouadir – Substantial contributions to conception and design, Acquisition of data, Analysis and interpretation of data, Drafting the article, Revising it critically for important intellectual content, Final approval of the version to be published
Abderrahmane El Mazghi – Analysis and interpretation of data, Revising it critically for important intellectual content, Final approval of the version to be published
Khalid Hassouni – Analysis and interpretation of data, Revising it critically for important intellectual content, Final approval of the version to be published
Guarantor of submission
The corresponding author is the guarantor of submission.
Source of support
None
Conflict of interest
Authors declare no conflict of interest.
Copyright
© 2017 Asmaa Kouadir et al. This article is distributed under the terms of Creative Commons Attribution License which permits unrestricted use, distribution and reproduction in any medium provided the original author(s) and original publisher are properly credited. Please see the copyright policy on the journal website for more information.


ABOUT THE AUTHORS

Asmaa Kouadir is Resident Doctor at Department of Radiotherapy, Hassan Ii University Hospital, Faculty of Medicine and Pharmacy of Fez, Sidi Mohamed Ben Abdellah University, Fez, Morocco. She Earned undergraduate degree (Mbbs) from Faculty of Medicine and Pharmacy of Rabat, Mohammed V University, Rabat, Morocco and postgraduate degree (Medical Doctor Degree) from Faculty of Medicine and Pharmacy of Rabat, Mohammed V University, Rabat, Morocco. Her research interests include intensity modulated radiotherapy, and head and neck cancers. Email: kouadirasmaa@gmail.com


Abderrahmane El Mazghiis Associate Professor at Department of Radiotherapy, Hassan II University Hospital, Faculty of Medicine and Pharmacy of Fez, Sidi Mohamed Ben Abdellah University, Fez, Morocco. He earned undergraduate degree (Mbbs) from Faculty of Medicine and Pharmacy of Rabat, Mohammed V University, Rabat, Morocco and postgraduate degree (Phd) from Department of Radiotherapy, Hassan II University Hospital, Faculty of Medicine and Pharmacy of Fez, Sidi Mohamed Ben Abdellah University, Fez, Morocco. He has published 30 research papers in national and international academic journals. His research interests include sarcomas, brachytherapy, and lymphomas.


Khalid Hassouni is Head of Department and Director of Department of Radiotherapy at Hassan II University Hospital, Faculty of Medicine and Pharmacy of Fez, Sidi Mohamed Ben Abdellah University, Fez, Morocco. He earned undergraduate degree (Mbbs) from Faculty of Medicine and Pharmacy of Rabat, Mohammed V University, Rabat, Morocco and postgraduate degree (PhD) from Department of Radiotherapy, National Institute of Oncology Sidi Mohamed Ben Abdellah, Faculty of Medicine and Pharmacy of Rabat, Mohammed V University, Rabat, Morocco. He has published more than 100 research papers in national and international academic journals. His research interests include intensity modulated radiotherapy, brachytherapy, and head and neck cancers.