Table of Contents    
Case Report
 
Actinomycosis-like Propionibacterium propionicum infection associated with use of intrauterine contraceptive device: A case report
Fouzia Memon1, Ayesha Anwar1, Mohamed Matar1, Leon Jonker2
1North Cumbria University Hospitals NHS Trust, Department of Obstetrics & Gynaecology, Cumberland Infirmary, Carlisle, CA2 7HY, UK.
2PhD, University of Cumbria, Faculty of Health & Wellbeing, Carlisle, CA1 2HH, UK.

Article ID: 100020Z08FM2016
doi:10.5348/Z08-2016-20-CR-13

Address correspondence to:
Dr. Leon Jonker
Honorary Research Fellow
North Cumbria University Hospitals NHS Trust
Department of Obstetrics and Gynaecology
Cumberland Infirmary, Carlisle, CA2 7HY


Access full text article on other devices

  Access PDF of article on other devices

[HTML Abstract]   [PDF Full Text] [Print This Article]
[Similar article in Pumed] [Similar article in Google Scholar]

How to cite this article:
Memon F, Anwar A, Matar M, Jonker L. Actinomycosis-like Propionibacterium propionicum infection associated with use of intrauterine contraceptive device: A case report. J Case Rep Images Gynecol Obstet 2016;2:57–60.


Abstract
Introduction: Intrauterine contraceptive devices generally carry a low risk of complications. Infection, possibly due to damage caused upon insertion, can occur and actinomycetaceae are the most likely cause of pelvic actinomycosis.
Case Report: A 41-year-old female presented with a two-month history of raised temperature, weight loss and abdominal tenderness. Contrast tomography imaging indicated pyometria and pelvic actinomycosis-like abscess linked to intrauterine contraceptive device use. Full microbiological reporting, including anaerobic cultures and 16S PCR, identified the bacterium Propionibacterium propionicum. A six-month course of amoxicillin resolved the infection and the patient made a full recovery.
Conclusion: Increased IUCD-related actinomycosis awareness and improved diagnostics may increase detection of P. propionicum, a pathogen rarely reported on to date.

Keywords: Intrauterine contraceptive device, Pelvic abscess, Propionibacterium propionicum, Pyometra


Introduction

The use of Intrauterine contraceptive devices (IUCD) does carry a risk of infection; actinomycetaceae are the most likely cause of pelvic actinomycosis [1] [2] [3]. Some case reports and case series have described actinomycosis, and it has been suggested that the incidence of this complication is higher than generally thought [3] [4]. Pyometra and pelvic actinomycosis-like abscess due to Propionibacterium propionicum (formerly known as Arachnia propionica) is, however, an even rarer occurrence. To date, only a few case report publications have reported such instances with only one showing positive culture of the anaerobe P. propionicum which normally resides in sweat glands and on the skin [5] [6] [7]. Here we report a case of pyometra and pelvic actinomycosis-like abscess, linked to an in situ intrauterine contraceptive device.


Case Report

A 41-year-old female, para 2, admitted to hospital for right iliac fossa pain, plus reduced appetite and weight loss, that had been present for two months. Furthermore, the patient had generalized tenderness in lower abdomen. Observations showed normal blood pressure and pulse, but raised temperature of 37.8°C. Computed tomography scan revealed bilateral predominantly cystic ovarian masses with solid component, plus multiple peritoneal nodules with pelvic free fluid (Figure 1) and (Figure 2). Ultrasound of the abdomen and pelvis showed a normal-sized anteverted uterus with an IUCD in situ within the endometrial cavity. It confirmed earlier CT scan findings regarding bilateral complex adnexal cysts; measurements were 70x63x61 mm (right) and 63x48x54 mm (left). The right ovary was separate from the cyst, but the left ovary was not separate from the adnexal cyst. White cell count and C-reactive protein results were only slightly raised 13x109/L and 119 mg/L respectively, and tumor markers CA125, CEA and CA19-9 were normal.

Due to the case complexity, planned laparoscopy was converted to laparotomy, adhesiolysis, drainage of left ovarian abscess, right mesosalpinx cystectomy, right partial salpingectomy and removal of IUCD. Frank pus exuded from the cervical ostium during the IUCD removal. Tissue and pus specimens were sent for histology and microbiological testing respectively. Histology reporting matched the tumor marker results: benign tissues with chronic inflammatory features.

Gram stain of the original sample showed few pus cells and mixed organisms including Actinomyces-like organisms. No growth resulted from direct culture, but the anaerobic five-day culture yielded colonies with a "breadcrumb" appearance and Gram stain showed Gram-positive, long, branching rods (Figure 3). The isolate was given a presumptive identification of "Actinomyces species" and referred to an anaerobic reference unit for confirmation and susceptibility testing. There were three anaerobic organisms listed below identified with 16S PCR molecular techniques: P. propionicum, Campylobacter rectus – both susceptible to penicillin and clindamycin - and Eikenella corrodens, resistant to penicillin and clindamycin.

The patient was started on a regime of intravenous amoxicillin (1 gram tid for 6 weeks) followed by oral amoxicillin 1 gram tid for six months. She responded well to amoxicillin and gradually symptoms abated. After six weeks of antibiotic therapy, follow-up CT scan revealed two small fluid collections, which were most likely post-operative and did not warrant drainage. Further notable improvement was noted at sixth-month follow-up visit via computed tomography scan (Figure 4) and (Figure 5).


Cursor on image to zoom/Click text to open image
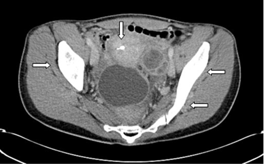
Figure 1: Axial computed tomography imaging of patient, upon admission to hospital. The bilateral cystic ovarian masses are visualized and the IUCD can be seen in the endometrial cavity.



Cursor on image to zoom/Click text to open image
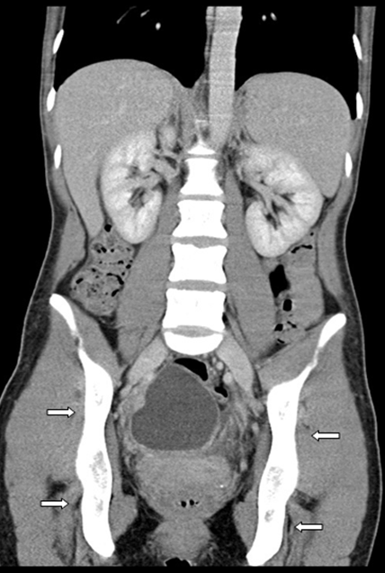
Figure 2: Coronal computed tomography scan of patient, upon admission to hospital. Infection has spread bilaterally in the ovaries and large areas of the pelvis.



Cursor on image to zoom/Click text to open image
Figure 3: P. propionicum culture obtained from patient's pus sample (magnification x100).



Cursor on image to zoom/Click text to open image
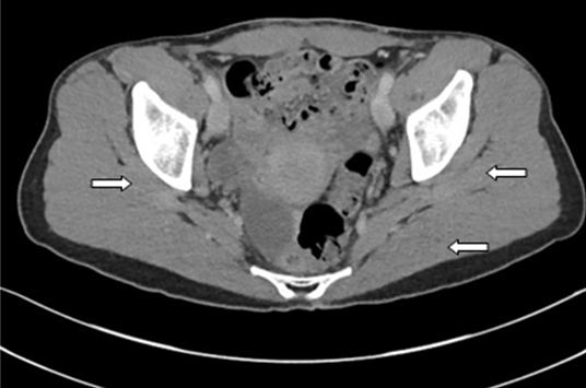
Figure 4: Axial computed tomography imaging of patient, six months into treatment. Lack of ovarian masses and free fluid in pelvis.



Cursor on image to zoom/Click text to open image
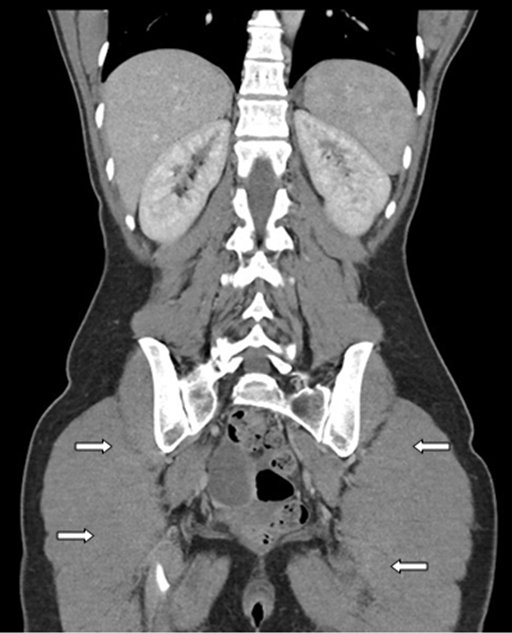
Figure 5: Coronal computed tomography imaging of patient, six months into treatment. The infection, previously present in the ovaries and pelvis, has resolved.



Discussion

To our knowledge, this is the second reported confirmed case of an IUCD-related P. propionicum actinomycotic-like pelvic abscess after Wunderink's report in 2011 [7]. Our patient showed clinical symptoms akin to actinomycotic pelvic abscess: abdominal pain, weight loss and fever. This aided us to form a differential diagnosis and to progress a microbiological investigation. Often, patients with abscess undergo surgery and the result may be hysterectomy or otherwise. Since antibiotic treatment can lead to significant clinical improvements once the exact pathogen has been identified, it is essential to initiate sampling and sensitivity tests promptly. In the past, a Papanicolaou smear has been suggested as a useful adjunct diagnostic tool [4] [8]. Presently, molecular profiling with 16S PCR is a powerful tool for detecting the exact strains present in a pathological specimen.


Conclusion

A thorough medical history, including determining whether a patient uses an IUCD, and imaging form the standard diagnostic arsenal for clinicians consulting patients who present with general malaise and abdominal tenderness. Actinomycotic, and actinomycotic-like, pelvic infection may be more common condition than the levels of published data suggest. One study showed that 3% of patients with an IUCD in situ have test positive for actinomycetes infection–some of which were asymptomatic. Therefore, it is prudent to suspect infection in women with IUCD in situ who are symptomatic. Molecular profiling of tissue and pus specimens can further pinpoint the source of infection, and allow tailored antibiotic treatment.


References
  1. Brenner RW, Gehring SW 2nd. Pelvic actinomycosis in the presence of an endocervical contraceptive device. Report of a case. Obstet Gynecol 1967 Jan;29(1):71–3.   [Pubmed]    Back to citation no. 1
  2. Henderson SR. Pelvic actinomycosis associated with an intrauterine device. Obstet Gynecol 1973 May;41(5):726–32.   [Pubmed]    Back to citation no. 2
  3. Schiffer MA, Elguezabal A, Sultana M, Allen AC. Actinomycosis infections associated with intrauterine contraceptive devices. Obstet Gynecol 1975 Jan;45(1):67–72.   [Pubmed]    Back to citation no. 3
  4. Fiorino AS. Intrauterine contraceptive device-associated actinomycotic abscess and Actinomyces detection on cervical smear. Obstet Gynecol 1996 Jan;87(1):142–9.   [CrossRef]   [Pubmed]    Back to citation no. 4
  5. Brock DW, Georg LK, Brown JM, Hicklin MD. Actinomycosis caused by Arachnia propionica: Report of 11 cases. Am J Clin Pathol 1973 Jan;59(1):66–77.   [Pubmed]    Back to citation no. 5
  6. Novak A, Brütsch P. Case report of actinomycosis caused by Arachnia propionica. Infection 1980;8 Suppl 2:S209–11.   [CrossRef]   [Pubmed]    Back to citation no. 6
  7. Wunderink HF, Lashley EE, van Poelgeest MI, Gaarenstroom KN, Claas EC, Kuijper EJ. Pelvic actinomycosis-like disease due to Propionibacterium propionicum after hysteroscopic removal of an intrauterine device. J Clin Microbiol 2011 Jan;49(1):466–8.   [CrossRef]   [Pubmed]    Back to citation no. 7
  8. Nayar M, Chandra M, Chitraratha K, Kumari Das S, Rai Chowdhary G. Incidence of actinomycetes infection in women using intrauterine contraceptive devices. Acta Cytol 1985 Mar-Apr;29(2):111–6.   [Pubmed]    Back to citation no. 8

[HTML Abstract]   [PDF Full Text]

Author Contributions
Fouzia Memon – Substantial contributions to conception and design, Acquisition of data, Analysis and interpretation of data, Drafting the article, Revising it critically for important intellectual content, Final approval of the version to be published
Ayesha Anwar – Analysis and interpretation of data, Revising it critically for important intellectual content, Final approval of the version to be published
Mohamed Matar – Analysis and interpretation of data, Revising it critically for important intellectual content, Final approval of the version to be published
Leon Jonker – Analysis and interpretation of data, Revising it critically for important intellectual content, Final approval of the version to be published
Guarantor of submission
The corresponding author is the guarantor of submission.
Source of support
None
Conflict of interest
Authors declare no conflict of interest.
Copyright
© 2016 Fouzia Memon et al. This article is distributed under the terms of Creative Commons Attribution License which permits unrestricted use, distribution and reproduction in any medium provided the original author(s) and original publisher are properly credited. Please see the copyright policy on the journal website for more information.