Case Report


Uteroperitoneal fistula post-caesarean section—Uterine conservation through a combined medical and surgical approach

,  

1 Obstetrics and Gynaecology Registrar, Waikato Hospital, Waikato District Health Board, Waikato, New Zealand

2 Clinical Director of Obstetrics, Waikato Hospital, Waikato District Health Board, Waikato, New Zealand

Address correspondence to:

Rachael Windsor

19a Park Terrace, Hamilton City Central, Hamilton, Waikato 3204,

New Zealand

Message to Corresponding Author


Article ID: 100062Z08RW2020

doi: 10.5348/100062Z08RW2020CR

Access full text article on other devices

Access PDF of article on other devices

How to cite this article

Windsor R, Camano I. Uteroperitoneal fistula post-caesarean section—Uterine conservation through a combined medical and surgical approach. J Case Rep Images Obstet Gynecol 2020;6:100062Z08RW2020.

ABSTRACT


Introduction: A uteroperitoneal fistula is a rare complication of caesarean section which can present as a recurrent pelvic hematoma.

Case Report: We present a case of a primigravida who underwent an emergency caesarean section complicated by a recurrent bladder flap hematoma (BFH). This was initially managed with a laparoscopic approach followed by percutaneous drainage. Ultimately she required a laparotomy due to further hematoma recurrence at which point a uterine dehiscence was noted and repaired. Unfortunately the dehiscence recurred resulting in a uteroperitoneal fistula identified on magnetic resonance imaging (MRI). This was managed with a gonadotropin releasing hormone antagonist which resulted in closure of the fistulous tract with conservation of the uterus.

Conclusion: This case illustrates the complexities of diagnosing and managing this rare complication and proposes that uterine conservation is possible through a combined surgical and medical approach.

Keywords: Caesarean, Hematoma, Uteroperitoneal fistula

Introduction


As numbers of caesarean sections increase worldwide, the numbers of complications are also seen to rise. There are many well-known and relatively frequent complications of caesarean section but others are less frequently diagnosed. With advancing imaging technology, previously underrecognized complications are now being identified, prompting novel treatment approaches. While a BFH is a common and underrecognized complication of caesarean section, rarely it can be associated with underlying uterine dehiscence. A resultant uteroperitoneal fistula is a significant cause of short- and long-term morbidity. The most appropriate management is also unknown. We present a case of recurrent postpartum BFH leading to a uteroperitoneal fistula, managed with a combined medical and surgical approach allowing uterine conservation.

Case Report


Our patient was a primigravida, induced at 37 weeks due to preeclampsia. This resulted in delivery by caesarean section following a failed induction with a Foley’s catheter, artificial rupture of membranes, and an oxytocin infusion for 18 hours. The surgical procedure was uncomplicated with Joel Cohen technique, bladder flap creation, and two layered closure of hysterotomy. There was good hemostasis following the closure of the uterine incision and the estimated blood loss was 700 mL.

On Day 1 postoperatively, she was found to have a hemoglobin of 77 g/L from 132 g/L preoperatively with a normal coagulation profile and was transfused two units of red blood cells. On Day 2, she developed symptoms suggestive of ileus. An abdominal X-ray revealed small and large bowel dilatation which prompted a computed tomography (CT) abdomen and pelvis. This revealed a heterogenous collection 10 × 7 × 7 cm anterior to the lower uterine segment with no contrast blush to suggest active bleeding. There was no evidence of bowel or bladder injury. She had a further drop in her hemoglobin to 65 g/L which prompted transfusion of a further two units of packed red cells.

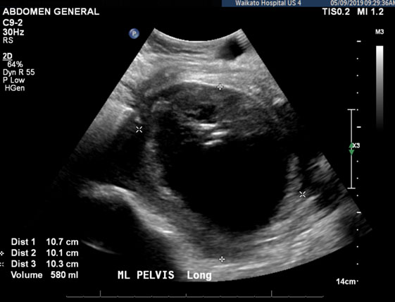
Medical management was commenced with prophylactic broad spectrum intravenous antibiotics. No surgical intervention was planned. The ileus resolved within 24 hours, and she was changed to oral antibiotics on Day 6. On Day 12 she developed worsening pain and abdominal distension. Transvaginal ultrasound demonstrated a large BFH measuring 12 × 8 × 11 cm (Figure 1). The following day she developed a fever and tachycardia. Broad spectrum intravenous antibiotics were recommenced and surgical drainage recommended.

At this stage, both a laparotomy and laparoscopy was offered although she opted for a laparoscopic approach with the hope of reducing her recovery time. Laparoscopy was performed on Day 14 and a large hematoma between the uterus and bladder was identified and drained. No signs of uterine dehiscence or active bleeding were noted. She showed clinical improvement following this, however on Day 24 she became septic with worsening abdominal pain and peritonism on examination. Repeat CT abdomen and pelvis revealed a liquefied rim enhancing BFH extending to the right lower quadrant measuring 13.5 × 12 × 8 cm. As advised by the interventional radiologist, the hematoma was then drained with ultrasound guidance. A drain was left in situ and regularly flushed. Culture grew Staphylococcus aureus and Enterococcus species, however on discussion with infectious disease it was not felt to be consistent with intestinal flora from bowel injury. Three days following this drainage, another ultrasound scan was performed and it showed no change in the size of the collection (Figure 2). The images were reviewed at the gynecology multidisciplinary meeting and the possibility of a small uterine dehiscence contributing to recollection of the hematoma was raised.

In view of this, an open laparotomy for examination and evacuation of the hematoma was recommended, agreed, and carried out. During this procedure, a 1 cm central uterine dehiscence was identified and repaired with 1 vicryl. The tissue of the anterior uterus was inflamed and friable with adjacent superficial necrosis along the posterior bladder wall, which was debrided appropriately.

Ultrasound scan five days following the laparotomy showed complete resolution of the hematoma and she was discharged. Unfortunately, she represented to our Woman’s Assessment Unit on Day 11 post-relaparotomy with persistent pain and new vaginal bleeding. This was felt to be menstruation given she was seven weeks postpartum and not breastfeeding, however in view of the persistent pain an MRI was advised. Magnetic resonance imaging showed a persistent 8 mm dehiscence in the lower uterine segment causing a uteroperitoneal fistula to an adjacent small collection measuring 6 cm (Figure 3).

Concern was raised that menstruation will lead to ongoing reaccumulation of the collection via the uterine-peritoneal fistula. As such, medical management with gonadotropin releasing hormone (GnRH) agonist in the form of a 10.8 mg Goserelin implant and oral antibiotics was commenced and MRI follow-up was recommended. Surgical intervention was discussed but felt to carry high risk of recurrence. Her follow-up MRI four months later revealed complete interval closure of the caesarean scar dehiscence with resolution of the pelvic hematoma. The patient was asymptomatic and discharged to primary care follow-up with advice to have a caesarean section in future deliveries due to an increased risk of uterine rupture.

Figure 1: Transvaginal ultrasound, longitudinal plane, showing bladder flap hematoma.

Share Image:

Figure 2: Transvaginal ultrasound, longitudinal plane, showing recurrent bladder flap hematoma.

Share Image:

Figure 3: MRI, sagittal plane, T2 weighted image, showing uteroperitoneal fistula and preuterine hematoma.

Share Image:

Discussion


This case illustrates the complexities of managing a BFH post caesarean section. It reveals a rare but important sequela—a uteroperitoneal fistula, which was managed with a combined medical and surgical approach allowing preservation of the uterus.

A BFH is a collection of blood within the ureterovesicular fold as a result of inadequate hemostasis at the uterine incision. It is more likely to occur when the visceral peritoneum is closed over the hysterotomy as this creates a potential enclosed space [1],[2]. The true incidence of BFHs is unknown but may be present in 28–92% of cases [2],[3],[4],[5],[6]. It can be considered a normal finding when less than 4 cm [7]. Typical presentations include a falling hemoglobin, abdominal pain, fever, or ileus.

First-line investigation is with ultrasound, which is usually sufficient to identify clinically significant hematomas requiring surgical intervention [7]. If active bleeding is suspected, angiography may be useful in identifying and managing the site of blood loss by way of embolization [8]. Evaluation of the integrity of the uterine incision is best served by MRI. Magnetic resonance imaging is more sensitive than CT for identifying the uterine layers due to its soft tissue and multiplanar capacity [1],[9]. However, the utility of MRI in the acute setting is not well described, given the likely normal finding of myometrial discontinuity in the first week post-delivery [7].

Management of BFH includes conservative or surgical options. Conservative management with broad spectrum antibiotics, observation, and serial imaging can be considered in patients who show no evidence of active bleeding, severe infection, and when the BFH is less than 4 cm [10]. Surgical options include percutaneous drainage, laparoscopy, or laparotomy [1]. Percutaneous drainage can allow for distinction between a hematoma and an abscess and supports resolution of febrile illness in most cases [11]. Laparoscopic management of a BFH has been demonstrated to be an effective method with the added advantage of detailed assessment of the uterine incision as well as the benefits of minimally invasive surgery, however should be performed by surgeons trained in advanced laparoscopic procedures [1],[10]. Laparotomy may be required in cases where uterine necrosis is suspected or the patient is clinically unstable with signs of sepsis or active bleeding [10].

Ineffective management of a BFH may lead to several sequelae including abscess formation, myometritis, and uterine dehiscence. The presence of a uterine dehiscence has been noted to occur in 0.06–3.8% of cases [12] and should be suspected when there is a BFH of greater than 5 cm [7]. A concurrent uterine dehiscence is an interesting phenomenon as it can represent both a complication of a BFH but also may be the underlying cause of hematoma recurrence. There are a number of reported risk factors for uterine scar dehiscence including emergency surgery, diabetes, nulliparity, infection, hysterotomy closure with locked suture and incision placed too low on the lower uterine segment where the tissue is more avascular [8]. In our case, given the absence of evidence of uterine dehiscence at the time of laparoscopy, we propose that necrosis of the uterine scar occurred as a consequence of an overlying infected hematoma, a theory which is supported by a number of other cases [9],[12]. We propose that the presence of an infected hematoma leads to persistent flow of lochia and blood through the friable, dehisced tissue resulting in the formation of a fistula.

Surgery for suspected uterine dehiscence is seen to be beneficial in those patients who had a large associated BFH greater than 4–6 cm or in those with sepsis not responding to antibiotic therapy or evidence of ongoing bleeding [10]. The procedure of choice will be determined primarily by intraoperative findings and desire for fertility preservation. Rivlin et al. propose that in woman who do not desire uterine conservation, management should be in the form of a hysterectomy [13]. Similarly, in those woman who have extensive necrotic involvement of incisional margins, peritonitis or intrabdominal abscess, adnexal involvement or significant endomyometritis hysterectomy is also advised. Those who do desire maintenance of fertility, debridement, and resuturing may be attempted [13],[14]. However more recently, several case studies have described effective medical management of uterocutaneous fistulae with GnRH analogues [15],[16],[17] the results of which were replicated in a case of chronic uterine dehiscence post-caesarean section which demonstrated successful, nonsurgical closure [18].

Long-term sequelae include both obstetric and gynecological complications. Obstetric implications include the need for elective repeat caesarean section to avoid the increased risk of uterine rupture due to a poorly healed lower uterine segment [18]. Gynecological implications include the formation of an isthmocoele leading to abnormal uterine bleeding, dysmenorrhea and pelvic pain, caesarean scar ectopic, infertility, endometriosis and adenomyosis [7],[19]. Ultimately, a hysterectomy may be required if medical and surgical management to conserve the uterus fails and the fistula remains patent and symptomatic. Our case further illustrates the efficacy of menstrual suppression with a GnRH agonist to allow healing of a caesarean scar dehiscence and thus resolution of a recurrent pelvic hematoma.

Conclusion


Caesarean section is a commonly performed surgical procedure with a number of associated long- and short-term complications. Our understanding and treatment options for these complications is also expanding with advances in imaging technology. Bladder flap hematoma is one such complication which may be normal when less than 4 cm and can be readily identified using ultrasound. Our case highlights the necessity of managing BFH effectively to avoid long-term sequelae such as uterine dehiscence and uteroperitoneal fistulae, which are best assessed using MRI. Surgical management should be considered when a uterine dehiscence is associated with a large hematoma or clinical instability and careful consideration given to whether uterine conservation is safe and feasible in those desiring fertility.

However, consideration should also be given to menstrual suppression with GnRH agonists to aid early recovery in suspected cases or where surgical management has failed. Our case demonstrates effective closure of a persistent caesarean scar dehiscence with the use of a GnRH agonist.

REFERENCES


1.

Malvasi A, Tinelli A, Tinelli R, Rahimi S, Resta L, Tinelli FG. The post-cesarean section symptomatic bladder flap hematoma: A modern reappraisal. J Matern Fetal Neonatal Med 2007;20(10):709–14. [CrossRef] [Pubmed]   Back to citation no. 1  

2.

Malvasi A, Tinelli A, Guido M, Zizza A, Farine D, Stark M. Should the visceral peritoneum at the bladder flap closed at cesarean sections? A post-partum sonographic and clinical assessment. J Matern Fetal Neonatal Med 2010;23(7):662–9. [CrossRef] [Pubmed]   Back to citation no. 1  

3.

Rogers SK, Kirby CL, Smith RJ, Horrow MM. Imaging after cesarean delivery: Acute and chronic complications. Radiographics 2012;32(6):1693–712. [CrossRef] [Pubmed]   Back to citation no. 1  

4.

Maldjan C, Adam R, Maldjan J, Smith R. MRI appearance of the pelvis in the post caesarean-section patient. Magn Reson Imaging 1999;17(2):223–7. [CrossRef] [Pubmed]   Back to citation no. 1  

5.

Woo GM, Twickler DM, Stettler RW, Erdman WA, Brown CE. The pelvis after caesarean section and vaginal delivery: Normal MR findings. AJR Am J Roentgenol 1993;161(6):1249–52. [CrossRef] [Pubmed]   Back to citation no. 1  

6.

Baker ME, Kay H, Mohony BS, Cooper CJ, Bowie JD. Sonography of the low transverse incision, cesarean section: A prospective study. J Ultrasound Med 1988;7(7):389–93. [CrossRef] [Pubmed]   Back to citation no. 1  

7.

Vasudeva A, Amin SV, Prakashini K, Bharatnur S, Mundkur A. Post-caesarean haematomas, Septic Collections and wound disruptions – re-laparotomy based on abdominal imaging. J Clin Diagn Res 2016;10(11):QJ01–2. [CrossRef] [Pubmed]   Back to citation no. 1  

8.

Wagner MS, Bédard MJ. Postpartum uterine wound dehiscence: A case report. J Obstet Gynaecol Can 2006;28(8):713–5. [CrossRef] [Pubmed]   Back to citation no. 1  

9.

Tinelli A, Malvasi A, Vittori G. Laparoscopic treatment of post-cesarean section bladder flap hematoma: A feasible and safe approach. Minim Invasive Ther Allied Technol 2009;18(6):356–60. [CrossRef] [Pubmed]   Back to citation no. 1  

10.

Rivlin ME, Patel RB, Carroll CS, Morrison JC. Diagnostic imaging in uterine incisional necrosis/dehiscence complicating cesarean section. J Reprod Med 2005;50(12):928–32. [Pubmed]   Back to citation no. 1  

11.

Achonolu F, Minkoff H, Delke I. Percutaneous drainage of fluid collections in the bladder flap of febrile post-caesarean-section patients. A report of seven cases. J Reprod Med 1987;32(2):140–3. [Pubmed]   Back to citation no. 1  

12.

Rivlin ME, Carroll CS Sr, Morrison JC. Infectious necrosis with dehiscence of the uterine repair complicating cesarean delivery: A review. Obstet Gynecol Surv 2004;59(12):833–7. [CrossRef] [Pubmed]   Back to citation no. 1  

13.

Rivlin ME, Carroll CS, Morrison JC. Conservative surgery for uterine incisional necrosis complicating cesarean delivery. Obstet Gynecol 2004;103(5 Pt 2):1105–8. [CrossRef] [Pubmed]   Back to citation no. 1  

14.

El-Agwany AS. Conservative management of infected postpartum uterine dehiscence after cesarean section. J Med Ultrasound 2018:26(1):59–61. [CrossRef] [Pubmed]   Back to citation no. 1  

15.

Seyhan A, Ata B, Sidal B, Urman B. Medical treatment of uterocutaneous fistula with gonadotropin-releasing hormone agonist administration. Obstet Gynecol 2008;111(2 Pt 2):526–8. [CrossRef] [Pubmed]   Back to citation no. 1  

16.

Yadav P, Gupta S, Singh P, Tripathi S. Successful medical management of uterocutaneous fistula. Int J Gynaecol Obstet 2014;124(3):263–4. [CrossRef] [Pubmed]   Back to citation no. 1  

17.

Thubert T, Denoiseux C, Faivre E, Naveau A, Trichot C, Deffieux X. Combined conservative surgical and medical treatment of a uterocutaneous fistula. J Minim Invasive Gynecol 2012;19(2):244–7. [CrossRef] [Pubmed]   Back to citation no. 1  

18.

Baxi LV, Lerner JP, Nova J. Symptomatic chronic uterine dehiscence: A different approach, nonsurgical successful closure. J Obstet Gynaecol India 2015;65(1):56–9. [CrossRef] [Pubmed]   Back to citation no. 1  

19.

Tower AM, Frishman GN. Cesarean scar defects: An underrecognized cause of abnormal uterine bleeding and other gynecologic complications. J Minim Invasive Gynecol 2013;20(5):562–72. [CrossRef] [Pubmed]   Back to citation no. 1  

SUPPORTING INFORMATION


Acknowledgments

Thank you to our patient who provided consent for her case to be written up.

Author Contributions

Rachael Windsor - Conception of the work, Design of the work, Acquisition of data, Analysis of data, Drafting the work, Revising the work critically for important intellectual content, Final approval of the version to be published, Agree to be accountable for all aspects of the work in ensuring that questions related to the accuracy or integrity of any part of the work are appropriately investigated and resolved.

Isabel Camano - Conception of the work, Design of the work, Revising the work critically for important intellectual content, Final approval of the version to be published, Agree to be accountable for all aspects of the work in ensuring that questions related to the accuracy or integrity of any part of the work are appropriately investigated and resolved.

Guaranter of Submission

The corresponding author is the guarantor of submission.

Source of Support

None

Consent Statement

Written informed consent was obtained from the patient for publication of this article.

Data Availability

All relevant data are within the paper and its Supporting Information files.

Conflict of Interest

Authors declare no conflict of interest.

Copyright

© 2020 Rachael Windsor et al. This article is distributed under the terms of Creative Commons Attribution License which permits unrestricted use, distribution and reproduction in any medium provided the original author(s) and original publisher are properly credited. Please see the copyright policy on the journal website for more information.