Case Report


Generalized metastases of uterine adenosarcoma with sarcomatous overgrowth: A case report

,  ,  ,  

1 PhD, Programa en Ciencias Genómicas, Universidad Autónoma de la Ciudad de México (UACM), Apdo, Postal 03100, Ciudad de México, Mexico

2 PhD, Unidad de Investigación Biomédica en Cáncer del Instituto Nacional de Cancerología, Ciudad de México, Mexico

3 PhD, Patología, UMAE Pediatría, CMNSXXI, IMSS, Mexico

4 PhD, Departamento de Piel y Partes Blandes del Instituto Nacional de Cancerología, Ciudad de México, Mexico

Address correspondence to:

Angeles C Tecalco-Cruz

PhD, Programa de Ciencias Genómicas, Universidad Autónoma de la Ciudad de México (UACM), Apdo, Postal 03100, Ciudad de México,

Mexico

Message to Corresponding Author


Article ID: 100070Z08AC2021

doi: 10.5348/100070Z08AC2021CR

Access full text article on other devices

Access PDF of article on other devices

How to cite this article

Tecalco-Cruz AC, Cortés-González CC, Rodríguez-Florido MA, García-Ortega DY. Generalized metastases of uterine adenosarcoma with sarcomatous overgrowth: A case report. J Case Rep Images Obstet Gynecol 2021;7:100070Z08AC2021.

ABSTRACT


Introduction: Uterine adenosarcoma with sarcomatous overgrowth (ASO) is a rare sarcoma associated with a high risk of poor patient outcomes. There may be an increased risk of recurrence with ASO and local invasion; however, distant metastasis is not reported often.

Case Report: We present a case of generalized metastases of ASO in a 68-year-old patient. She presented abnormal vaginal bleeding and progressive, intense pelvic and abdominal pain. Different biopsies were performed and described as a neoplasm compatible with a tumor of endometrium stroma and hyperplasia. She underwent a hysterectomy (PIVER type III) with intraoperative analysis, and the diagnosis of ASO with lymphovascular invasion was made. Vaginal bleeding recurred two months post-hysterectomy, and a polyp in the vaginal dome was detected. Computed tomography (CT) revealed bladder, liver, and lung metastases. The patient developed difficulty in breathing, necessitating supplemental oxygen. She required urinary catheterization and suffered from frequent constipation. She also received antibiotics and analgesics as palliative treatment at home. Two months and sixteen days posthysterectomy, before chemotherapy was initiated, she died while sleeping.

Conclusion: ASO tumors are highly aggressive. Rapid-action protocols to avoid delays in the diagnosis and treatment are required. In this context, the difficulty of interpreting biopsies may be indicating this disease, and CT may help in the diagnosis. Early hysterectomy with adjuvant therapy may improve the prognostic of ASO patients. Abnormal vaginal bleeding is a critical symptom in postmenopausal women, and aging is also a risk factor for ASO.

Keywords: A case report, Generalized metastases, Sarcomatous overgrowth, Uterine adenosarcoma

Introduction


Around 3–7% of all cases of uterine corpus cancers are sarcomas. Approximately 8% of uterine sarcomas are adenosarcomas (Müllerian mixed tumor), which have a variant called adenosarcoma “with sarcomatous overgrowth” (ASO). Adenosarcoma and ASO mainly affect postmenopausal women aged between 50 and 60 years. Infrequent occurrence of ASO makes its identification, treatment, and prognosis difficult [1],[2],[3].

Sarcomatous overgrowth in an adenosarcoma is established when at least 25% of the tumor contains a high-grade stromal component. Adenosarcoma with sarcomatous overgrowth is more aggressive than classical uterine adenosarcoma, as ASO is associated with postoperative recurrence and dissemination to adjacent organs like the ovaries. However, only a few cases with metastases to distant organs have been reported [4],[5],[6],[7]. Here, we present a case of distant metastases of an ASO in a 68-year-old patient.

Case Report


We present a case of a 68-year-old woman with abnormal vaginal bleeding, pelvic pain and pain in her waist, hips, and legs. An initial ultrasound, on July 5, 2019, revealed possible endometrial hyperplasia. The patient underwent four biopsies (three at a public medical service and one at a private medical service unit) without a conclusive diagnosis (July 17, October 7, October 29, and November 8, 2019). The first biopsy sample (July 17, 2019) was obtained from an endometrial polyp, the second biopsy sample was obtained by curettage (October 7, 2019) after the patient presented with severe symptoms (intermittent bleeding and pelvic pain), and the third biopsy sample was obtained from a polypoid lesion that protruded into the uterine cavity (October 29, 2019).

Due to the absence of a proper diagnosis, and the long waiting periods, during which time she experienced worsening symptoms, the patient moved from a public to a private medical service unit, in consideration of her worsening symptoms. A fourth biopsy of the endometrium (November 8, 2019) was performed at the private medical service unit, which indicated “hyperplasia adenomatosa atypical.” The patient’s endometrial tissue mainly comprised stroma with fragments of irregular glands and papilliform projections coated by epithelia, with atypia and pleomorphism (result delivered on November 18, 2019).

The public health system delivered the results of the first three biopsies on December 2, 2019. The first biopsy reported “scarce tissue material associated with elements of endometrial stroma without specific changes.” The second curettage biopsy result identified “a neoplasm compatible with a tumor of endometrium stroma.” The third biopsy result revealed “a hyperplasic polyp.” On December 19, 2019, an irregular cervix at speculoscopy, tumor periorificial, was identified. On January 2, 2020 (approximately six months after her first vaginal bleeding), hysterectomy (PIVER type III approach) was performed to the patient. Endometrial surgical routine was performed (bilateral salpingooophorectomy, vaginal dome excision, bilateral pelvic lymphadenectomy and omentectomy). Diagnosis of ASO was determined (histopathological report, January 23, 2020).

 

Pathology findings

Macroscopically, the uterus measured 10 × 5 × 5 cm and weighed 501 g. The endometrial cavity was occupied by a large grayish-brown multinodular polypoid tumor of 12 × 10 × 5 cm with necrosis, hemorrhage, and extension to the cervical canal (Figure 1).

Histopathological analysis revealed a biphasic tumor composed of an expanded stroma with small round neoplastic cells with high nucleus:cytoplasmic ratio, oval nucleus with euchromatin, mild pleomorphism, and high mitotic activity (22 m in 10 HPF), this pattern represents more than 75% of the tumor. In other fields there were epithelial elements characterized by tubular glands covered by columnar neoplastic epithelium with oval nucleus with moderate pleomorphism and mitotic activity. The neoplastic cells invaded more than 2/3 of the myometrium and lymphovascular invasion was observed (Figure 2). The diagnosis of ASO was made with pathological stratification pT1b, pN0, pMx according of AJCC 8th ed and FIGO stage (2015): 1B. The rest of the samples were negative for neoplastic cells.

On February 13, 2020 (after the hysterectomy), the patient reported vaginal bleeding again, with pain in the pelvis, abdomen, spine, and legs. On February 21, 2020, a simple and contrast CT was performed from the lung bases to the pubic symphysis.

CT imaging confirmed widespread local and distant metastases in bladder, liver, and lung (Figure 3). Diffused distribution in multiple nodules were observed using posteroanterior and lateral chest teleradiography. Diffused pulmonary nodules suggested metastatic infiltration (Figure 4). The patient was weak and lost the ability to breathe, requiring a supply of oxygen. The patient also needed a urinary catheter and suffered from frequent constipation. In less than a month after performing the CT, she died (March 18, 2020), two days before the start of her chemotherapy regimen.

Figure 1: (A) External surface of the uterus with exophytic tumor through the cervix. (B) Gross section of the uterus cavity occupied entirely by multinodular polypoid brown-yellow tumor.

Share Image:

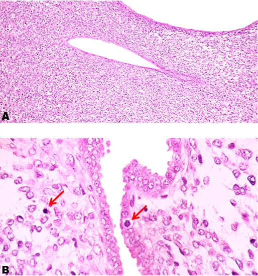
Figure 2: (A) Biphasic tumor with diffuse stromal overgrowth and tubular neoplastic glands. Histopathological analysis was performed on all the fragments stained with hematoxylin and eosin (H&E) 10×. (B) Mitotic activity in stromal and epithelial neoplastic cells.

Share Image:

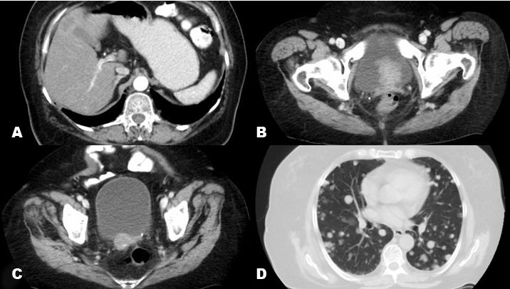
Figure 3: (A) The CT of the abdomen and pelvis showed liver lesions suggesting secondary metastasis of the tumor. (B) and (C) The CT scan showed nodule-like lesions in the uterine bed and in the vaginal canal with extensions to the bladder, suggesting residual lesion versus recurrence. (D) The CT also showed multiple pulmonary nodules were detected, suggesting secondary lesions.

Share Image:

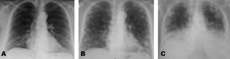
Figure 4: Diffused distribution in multiple nodules was observed progressively using posteroanterior and lateral chest teleradiography, suggesting metastatic infiltration. (A) November 28, 2019 (before hysterectomy), (B) February 21, 2020, and (C) March 12, 2020.

Share Image:

Discussion


ASO is a rare, malignant neoplasm, which is highly aggressive but has a low incidence rate, making it difficult to study. This low incidence of ASO, coupled with the limitations of the public health service system in underdeveloped countries, made these cases types challenging to diagnose and treat. The patient was subjected to biopsies and curettage, without a precise diagnosis, by gynecologists. In the meantime, the patient’s symptoms increased severely. Thus, the lack of knowledge on ASO might have led to the misinterpretation of the biopsies, with no intervention for this “rare” uterine sarcoma, limiting the life expectancy of the patient.

The first reports related to ASO indicate that the overall median survival time for patients diagnosed with ASO is 13 months. This period can be as short as one month in some cases, even after surgery and adjuvant therapy [8],[9],[10]. ASO patients also have a high recurrence rate (55%), of which 31% die soon after the recurrence. A wider range of recurrence rate, 40–82%, is also reported [7],[11],[12],[13].

In the presented case, the dissemination of ASO to endocervical canal, cervix, bladder, liver, and lungs was detected. The metastasis occurred through the lymphovascular route since ASO invaded the lymphovascular system but did not invade the pelvic ganglion nodes. A month after hysterectomy, the patient had vaginal bleeding again, with pains more focused on the abdominal and vaginal regions. It is, therefore, essential to note that this case shows the ability of distant metastasis of ASO tumors, and their remarkable ability to persist and recur, indicating the significance of early and adequate medical attention in ASO patients.

Risk factors for ASO are not well known. In our case, the patient had essential habits, for instance, she drank several cups of coffee every day from childhood (from three years of age) to adulthood. She was overweight, but she had normal levels of biochemical analytes. Moreover, she had been a light smoker for many years, prior to stopping, some 20 years ago. Also, she had a history of cancer in her family, her brother was diagnosed with colorectal cancer and died due to the ailment.

Interestingly, the patient had five sons and one daughter, all born by natural childbirth. It is essential to highlight that this case suggests that multiparous women can also be susceptible to ASO. Furthermore, a bilateral tubular obstruction (OTB/salpingoclasia) was performed when she was 30 years old. She had not used contraceptives throughout her life and had never undergone any hormonal replacement therapy or used antiestrogens like tamoxifen. Thus, risk factors associated with ASO should be established, while more cases are reported and analyzed.

The most critical risk factor is the clinical stage and the depth of myometrial invasion. Thus, early diagnosis and hysterectomy are crucial for survival. An appropriate biopsy is essential for diagnosis accompanied by a thorough medical history. In samples where the stroma predominates, it is particularly important to carefully examine the cellularity and look for atypical changes and mitosis, common features of ASO. Depending on the type of ASO, the glands can represent variable amounts on the sample, usually are characterized by tubular glands covered by neoplastic columnar cells. Sometimes epidermoid cellular groups can be found and heterologous elements such as rhabdomyoblast, chondroid, or osseous elements. Therefore, a prompt histopathological diagnosis is essential, and when there is not a good sample for evaluation an adequate communication with the clinicians is essential to approach a new biopsy or consider hysterectomy with intraoperative evaluation by the pathologist.

It is important to note that the histopathological diagnosis of ASO before hysterectomy may be difficult, as there are limited, or no reference data related to ASO. It is highly likely that some cases are misdiagnosed or only considered as “postmenopausal bleeding.” The management of this disease may be complicated for medical and pathological services. The difficulty in making a correct diagnosis of ASO before hysterectomy is due to its rarity and histological features [14]. Computed tomography may be useful in the early detection of ASO, when biopsies cannot be interpreted.

In this case study, intraoperative histological evaluation of the tissue sections removed during hysterectomy helped in making the diagnosis of ASO tumors, which are defined as tumors showing at least 25% sarcomatous overgrowth. Hysterectomy is key to the histological evaluation, diagnosis, and treatment of adenosarcoma and ASO in postmenopausal women. Although an ideal treatment for ASO may not exist, adequate hysterectomy along with opportune adjuvant therapy may be useful in controlling the progression of ASO when performed soon after the appearance of the first symptoms of the disease.

Conclusion


In conclusion, we suggest that general practitioners and gynecologists should consider women aged 55 years and above to be at a high risk of uterus corpus cancer, including adenosarcoma and ASO, if they present with abnormal vaginal bleeding, with or without any pelvic pain. Furthermore, hysterectomy is an optimal approach for the diagnosis and treatment of uterine cancers in postmenopausal women as it may help in arriving at a better decision regarding the required adjuvant therapy. Adenosarcoma with sarcomatous overgrowth cases require quick decision-making to evaluate, diagnose, and treat these cases. More reports and investigations of ASO are necessary to understand the extent of this cancer.

REFERENCES


1.

Kudela E, Nachajova M, Balharek T, Gabonova E, Danko J. Mullerian adenosarcomas of the uterine cervix with sarcomatous overgrowth. Curr Probl Cancer 2019;43(4):371–6. [Pubmed]   Back to citation no. 1  

2.

Mbatani N, Olawaiye AB, Prat J. Uterine sarcomas. Int J Gynecol Obstet 2018;143 Suppl 2:51–8. [CrossRef] [Pubmed]   Back to citation no. 1  

3.

Nathenson MJ, Conley AP. Prognostic factors for uterine adenosarcoma: A review. Expert Rev Anticancer Ther 2018;18(11):1093–100. [CrossRef] [Pubmed]   Back to citation no. 1  

4.

Hong SB, Kim MJ, Kwon JY, Choi SJ, Kim EY, Lim J. A case of solitary brain metastasis from uterine Mullerian adenosarcoma with sarcomatous overgrowth. Brain Tumor Res Treat 2016;4(2):138–41. [CrossRef] [Pubmed]   Back to citation no. 1  

5.

Koyuncuoğlu M, Saatli B, Yıldırım. Ovarian metastasis of Müllerian adenosarcoma of the cervix with sarcomatous overgrowth. Turk J Obstet Gynecol 2017;14(3):195–8. [CrossRef] [Pubmed]   Back to citation no. 1  

6.

Podduturi V, Pinto KR. Mullerian adenosarcoma of the cervix with heterologous elements and sarcomatous overgrowth. Proc (Bayl Univ Med Cent) 2016;29(1):65–7. [Pubmed]   Back to citation no. 1  

7.

Tanner EJ, Toussaint T, Leitao MM Jr, et al. Management of uterine adenosarcomas with and without sarcomatous overgrowth. Gynecol Oncol 2013;129(1):140–4. [CrossRef] [Pubmed]   Back to citation no. 1  

8.

Clement PB, Scully RE. Mullerian adenosarcoma of the uterus: A clinicopathologic analysis of 100 cases with a review of the literature. Hum Pathol 1990;21(4):363–81. [CrossRef] [Pubmed]   Back to citation no. 1  

9.

Farhat MH, Hobeika EM, Moumneh G, Nassar AH. Uterine mullerian adenosarcoma with sarcomatous overgrowth fatal recurrence within two weeks of diagnosis: A case report. J Med Case Rep 2007;1:103. [CrossRef] [Pubmed]   Back to citation no. 1  

10.

Krivak TC, Seidman JD, McBroom JW, MacKoul PJ, Aye LM, Rose GS. Uterine adenosarcoma with sarcomatous overgrowth versus uterine carcinosarcoma: Comparison of treatment and survival. Gynecol Oncol 2001;83(1):89–94. [CrossRef] [Pubmed]   Back to citation no. 1  

11.

Nathenson MJ, Conley AP, Lin H, et al. The importance of lymphovascular invasion in uterine adenosarcomas: Analysis of clinical, prognostic, and treatment outcomes. Int J Gynecol Cancer 2018;28(7):1297–310. [Pubmed]   Back to citation no. 1  

12.

Pinto A, Howitt B. Uterine adenosarcoma. Arch Pathol Lab Med 2016;140(3):286–90. [CrossRef] [Pubmed]   Back to citation no. 1  

13.

Kaku T, Silverberg SG, Major FJ, Miller A, Fetter B, Brady MF. Adenosarcoma of the uterus: A Gynecologic Oncology Group clinicopathologic study of 31 cases. Int J Gynecol Pathol 1992;11(2):75–88. [Pubmed]   Back to citation no. 1  

14.

Tate K, Watanabe R, Yoshida H, et al. Uterine adenosarcoma in Japan: Clinicopathologic features, diagnosis and management. Asia Pac J Clin Oncol 2018;14(4):318–25. [CrossRef] [Pubmed]   Back to citation no. 1  

SUPPORTING INFORMATION


Acknowledgments

We thank M.Sc. Noé Santiago Alavez Pérez and Dr. Josué O. Ramírez-Jarquin for their comments about this manuscript. We thank the support from CONACYT and SECTEI (grant numbers: FOSSIS A3-S-54604 and SECTEI/276/2019 to C.C.C.-G.).

Author Contributions

Angeles C Tecalco-Cruz - Conception of the work, Design of the work, Analysis of data, Drafting the work, Revising the work critically for important intellectual content, Final approval of the version to be published, Agree to be accountable for all aspects of the work in ensuring that questions related to the accuracy or integrity of any part of the work are appropriately investigated and resolved.

Carlo C Cortés-González - Analysis of data, Revising the work critically for important intellectual content, Final approval of the version to be published, Agree to be accountable for all aspects of the work in ensuring that questions related to the accuracy or integrity of any part of the work are appropriately investigated and resolved.

Marco A Rodríguez-Florido - Acquisition of data, Analysis of data, Revising the work critically for important intellectual content, Final approval of the version to be published, Agree to be accountable for all aspects of the work in ensuring that questions related to the accuracy or integrity of any part of the work are appropriately investigated and resolved.

Dorian Y García-Ortega - Analysis of data, Revising the work critically for important intellectual content, Final approval of the version to be published, Agree to be accountable for all aspects of the work in ensuring that questions related to the accuracy or integrity of any part of the work are appropriately investigated and resolved.

Guaranter of Submission

The corresponding author is the guarantor of submission.

Source of Support

None

Consent Statement

Written informed consent was obtained from the patient’s family for publication of this article.

Data Availability

All relevant data are within the paper and its Supporting Information files.

Conflict of Interest

Authors declare no conflict of interest.

Copyright

© 2021 Angeles C Tecalco-Cruz et al. This article is distributed under the terms of Creative Commons Attribution License which permits unrestricted use, distribution and reproduction in any medium provided the original author(s) and original publisher are properly credited. Please see the copyright policy on the journal website for more information.