Case Report


Ovarian dysgerminoma in a 14-year-old presenting with an adnexal mass and elevated beta-human chorionic gonadotropin (beta-hCG)

,  ,  ,  ,  

1 Medical Student, University of Colorado School of Medicine, Aurora, CO, USA

2 Department of Obstetrics and Gynecology, Altru Hospital, Grand Forks, ND, USA

3 Department of Gynecologic Oncology, MultiCare Regional Cancer Center, Puyallup, WA, USA

4 Department of Pathology, University of Colorado School of Medicine, Aurora, CO, USA

5 Department of Obstetrics & Gynecology, Division of Gynecologic Oncology, University of Colorado School of Medicine, Aurora, CO, USA

Address correspondence to:

Jo Ellen Fresia

9044 E 48th Ave, Unit 302, Denver, CO 80238,

USA

Message to Corresponding Author


Article ID: 100119Z08JF2022

doi: 10.5348/100119Z08JF2022CR

Access full text article on other devices

Access PDF of article on other devices

How to cite this article

Fresia JE, Boe B, Breed C, Post MD, Lefkowits C. Ovarian dysgerminoma in a 14-year-old presenting with an adnexal mass and elevated beta-human chorionic gonadotropin (beta-hCG). J Case Rep Images Obstet Gynecol 2022;8(1):19–23.

ABSTRACT


Introduction: Ovarian germ cell tumors most commonly affect young women in the second and third decades of life. Dysgerminomas account for 30–50% of malignant ovarian germ cell tumors and are classically associated with elevated lactate dehydrogenase (LDH). Elevated human chorionic gonadotropin (hCG) in the setting of an adnexal mass in this age group may raise concern for ectopic pregnancy. It is critical to maintain a high index of suspicion for possible germ cell tumor in young women with adnexal masses to avoid unnecessary surgical spillage that might upstage a malignancy. We present a case of a 14-year-old female with adnexal mass and elevated hCG who was ultimately diagnosed with ovarian dysgerminoma.

Case Report: A 14-year-old female presented to the emergency room with vaginal bleeding and altered mental status and was found to have a markedly elevated beta-hCG, normal LDH, and an 8 cm complex adnexal mass. She underwent minimally invasive surgery and was ultimately diagnosed with stage 1A dysgerminoma with abundant synctiotrophoblast giant cells. Patient remained in remission for four years until she began experiencing new irregular periods. This time she was found to have an elevated LDH, normal B-hCG, and a 10 cm pelvic mass. She underwent exploratory laparotomy, removal of pelvic mass, right salpingo-oophorectomy, pelvic lymph node debulking, and adjuvant chemotherapy with bleomycin, etoposide, and cisplatin (BEP).

Conclusion: Dysgerminoma, the most common malignant ovarian germ cell tumor, may present with the uncommon profile of markedly elevated hCG and otherwise normal tumor markers. While ectopic pregnancy must be considered in this scenario, keeping dysgerminoma in the differential diagnosis of a young woman with a solid adnexal mass and elevated hCG may allow for intact removal of the mass, possibly helping to avoid adjuvant chemotherapy.

Keywords: Elevated hCG, Malignant germ cell tumor, Ovarian dysgerminoma

Introduction


For the general gynecologist, evaluation of an adnexal mass is a common occurrence. Women have a 5–10% lifetime risk of needing surgery for an adnexal mass [1]. Of malignant adnexal masses, 3–5% will be ovarian germ cell tumors (OGCTs) [2],[3]. OGCTs tend to be found in young women (second or third decade of life), and have varying presentations. Dysgerminomas are the most common type of malignant OGCT, accounting for approximately 30–50% of all malignant OGCTs [2],[4],[5]. Clinical manifestations of OGCTs may include abdominal enlargement, pain from rupture or torsion, and/or menstrual irregularities [2]. Laboratory anomalies of dysgerminoma characteristically include elevated lactate dehydrogenase (LDH) and/or elevated placental alkaline phosphatase. Beta human chorionic gonadotropin (B-hCG) is elevated in 3–5% of patients with dysgerminoma [6],[7]. In young women, the combination of adnexal mass and elevated B-hCG would most commonly raise concern for ectopic pregnancy. We present a case of an adolescent female with a markedly elevated B-HCG, normal LDH, and a left adnexal mass ultimately diagnosed as ovarian dysgerminoma.

Case Report


A 14-year-old female, gravida zero, with no significant past medical or surgical history, presented to the emergency room because of altered mental status that was ultimately attributed to intentional diphenhydramine overdose. In the emergency room she was found to have a quantitative B-hCG of 33,208 mIU/mL (normal non-pregnant value <5 mIU/mL) and computed tomography (CT) scan showed an adnexal mass. She was transferred to our institution where repeat B-hCG was 53,732 and transvaginal ultrasound showed a 7 × 5 × 8 cm left adnexal mass with peripheral vascularity, no fetal pole or yolk sac, no free fluid, and no intrauterine pregnancy. Computed tomography scan confirmed the presence of a large, lobulated, heterogeneously enhancing, adnexal mass, as well as nonspecific para-aortic lymph nodes not enlarged by size criteria. Thyroid stimulating hormone (TSH), alpha-fetoprotein (AFP), Ca-125, Ca 19-9, carcinoembryonic antigen (CEA), anti-Müllerian hormone (AMH), inhibins, dehydroepiandrosterone (DHEA), and toxicology screen were all normal. Her androstenedione was mildly elevated at 3.29 ng/mL (upper limit of normal 2.0 ng/mL). Her gynecologic history was significant for menarche at 12 years old with regular menses until six months prior to the discovery of her pelvic mass when she started experiencing irregular vaginal bleeding. She reported never having been sexually active and denied sexual assault. Her parents had noted her abdomen enlarging over the last few months.

Differential diagnosis at initial presentation for the adnexal mass included ectopic pregnancy, benign ovarian neoplasm and malignant ovarian neoplasm. Choriocarcinoma was considered particularly more given the patients markedly elevated B-hCG. Initial treatment recommendation was for an exam under anesthesia, dilation and curettage, diagnostic laparoscopy, left salpingo-oophorectomy, pelvic washings, and possible lymph node sampling. Informed consent was obtained from the parents as surrogate decision makers in the setting of age and mild residual altered mental status (from diphenhydramine overdose) and the patient was taken to the operating room.

Exam under anesthesia revealed blood in the vaginal vault with an intact hymenal ring, a small, mobile uterus, and a left adnexal mass. Laparoscopy revealed an encapsulated 11 cm left adnexal mass, which was freely mobile and replaced the entire left ovary (Figure 1). The right and left fallopian tubes, right ovary, uterus, liver, diaphragm, small and large bowel, and omentum were all normal. Pelvic washings were obtained, and the left ovary and fallopian tube were detached and placed intact in a laparoscopic bag. Because of the solid nature of the mass, one of the laparoscopic incisions was extended to approximately 3 cm to allow the specimen to be morcellated in the bag and removed without intraperitoneal spill. Intraoperative evaluation of pelvic and para-aortic lymph node beds confirmed the imaging finding of borderline size lymph nodes in left pelvic and para-aortic node beds and those were sampled.

Pathologic examination showed a pure dysgerminoma with abundant syncytiotrophoblast giant cells. The tumor was composed primarily of sheets and nests of moderately pleomorphic cells with round to “squared-off” nuclei, prominent central nucleoli, and abundant clear cytoplasm (Figure 2). Mitotic figures were readily identified (25/10 HPF); additionally there were large multinucleated cells scattered throughout (Figure 3). Immunohistochemical staining of the mononuclear cells showed expression of CD117 and D240, while the multinucleated cells expressed B-hCG (Figure 4, Figure 5, Figure 6). The tumor did not involve the ovarian surface. The fallopian tube was negative for tumor involvement, peritoneal washing was benign, endometrial biopsy showed proliferative endometrium, and there were three negative lymph nodes sampled. Overall, the case was staged as FIGO IA.

The patient’s case was discussed at multidisciplinary tumor board and the consensus was to recommend observation rather than adjuvant chemotherapy. A surveillance plan was developed with the patient and she was followed with regular pelvic exams, tumor markers (LDH and B-hCG), and imaging when clinically indicated. Pelvic exams were considered adequate examination of pelvic anatomy in this patient, given her body habitus and body mass index (BMI) of 18. Initially surveillance occurred every three months for two years. Surveillance was then spaced out to every six months which was continued for approximately two years. At this time, four years after initial presentation, she complained of irregular periods and was found to have an elevated LDH (1245 U/L from 180 U/L six months prior) and normal B-hCG. Computed tomography revealed 10 cm heterogeneously enhancing solid pelvic mass replacing her remaining ovary and concern for retroperitoneal lymphadenopathy. She was treated surgically with exploratory laparotomy, removal of pelvic mass, right salpingo-oophorectomy, and pelvic lymph node debulking. All grossly visible tumor was resected. Pathology showed a 13.5 cm ovarian mass composed of pure dysgerminoma, with lymphovascular space invasion; syncytiotrophoblast giant cells were not seen. Metastatic dysgerminoma was present in two of five para-aortic lymph nodes, while three pelvic lymph nodes were negative for malignancy (Figure 7). She received adjuvant chemotherapy with bleomycin, etoposide, and cisplatin (BEP). Thirteen months after completing chemotherapy she remains in remission.

Figure 1: Intraoperative images of the left ovarian mass, left ovary, fallopian tubes, and uterus.

Share Image:

Figure 2: Medium power view shows sheets of moderately pleomorphic nuclei with abundant clear cytoplasm and lymphocytic infiltrate within a fibrous septa. The nuclei have a round to angulated appearance and prominent central nucleoli (H&E staining, 10× magnification).

Share Image:

Figure 3: Higher power view shows the dysgerminoma cells with admixed syncytiotrophoblast (multinucleated cells with abundant eosinophilic cytoplasm), primarily located in the upper half of the image (H&E, 20×).

Share Image:

Figure 4: CD117 staining highlights dysgerminoma cells (CD117, 10×).

Share Image:

Figure 5: D240 staining highlights dysgerminoma cells (D240, 10×).

Share Image:

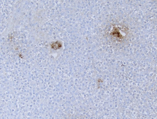
Figure 6: Beta-hCG staining highlights the syncytiotrophoblast from Figure 3 and does not label dysgerminoma cells (B-hCG, 20×).

Share Image:

Figure 7: Metastatic dysgerminoma (upper right) present within a lymph node (lower left) (H&E, 10×).

Share Image:

Discussion


We present a case of an adolescent who presented with a markedly elevated B-hCG, normal LDH, and an adnexal mass diagnosed as dysgerminoma with syncytiotrophoblast giant cells. We completed a literature review on PubMed to seek out any other similar case reports. To our knowledge, this is only the second case report of pure dysgerminoma presenting with elevated B-hCG as the only abnormal tumor marker and the first case of stage I dysgerminoma presenting with this tumor marker profile [8]. While pure dysgerminomas do not classically secrete hormones (thus the reliance on markers like LDH and placental alkaline phosphatase), some do contain syncytiotrophoblasts which accounts for the increased B-hCG seen in the initial patient presentation of this case [9]. Ectopic pregnancy is appropriately among the top diagnostic considerations in young women presenting with an adnexal mass and elevated hCG. However, keeping malignant OGCT on the differential diagnosis may allow for prioritization of removal of the mass intact, which has implications for staging and adjuvant therapy. Distinguishing between benign and malignant adnexal masses is integral to appropriately triaging a patient to the appropriate treatment center, and a growing number of physicians agree that no one marker is appropriate in all circumstances [10]. Intraoperative spillage automatically upstages an OGCT to at least stage IC. Adjuvant chemotherapy is the standard of care for ovarian dysgerminoma with the exception of Stage 1A/1B [11]. Given the toxicity of adjuvant chemotherapy and possible effects on fertility, there is a growing body of literature to support surveillance-only treatment for stage 1A/1B dysgerminomas [4]. Avoidance of intraoperative spill prevented this patient from requiring adjuvant chemotherapy [12]. Though this patient recurred and ultimately did require chemotherapy, most stage I ovarian germ cell tumors will not recur and in those patients avoiding surgical spill helps them avoid chemotherapy altogether [13].

Conclusion


Dysgerminoma, the most common malignant ovarian germ cell tumor, may rarely present with elevated B-hCG and otherwise normal tumor markers. Keeping OGCT in the differential diagnosis of a young woman with a solid adnexal mass and elevated B-hCG may increase the chance that the mass is removed intact, which may help avoid the need for chemotherapy.

REFERENCES


1.

National Institutes of Health Consensus Development Conference Statement. Ovarian cancer: Screening, treatment, and follow-up. Gynecol Oncol 1994;55(3 Pt 2):S4–14. [CrossRef] [Pubmed]   Back to citation no. 1  

2.

Kumar V, Robbins SL. Robbins Basic Pathology 8ed. Philadelphia, PA: Saunders/Elsevier; 2007.   Back to citation no. 1  

3.

Smith HO, Berwick M, Verschraegen CF, et al. Incidence and survival rates for female malignant germ cell tumors. Obstet Gynecol 2006;107(5):1075–85. [CrossRef] [Pubmed]   Back to citation no. 1  

4.

Royal College of Obstetricians and Gynaecologists. Management of female malignant ovarian germ cell tumours. (Scientific Impact Paper No. 52). RCOG; 2016. [Available at: https://www.rcog.org.uk/guidance/browse-all-guidance/scientific-impact-papers/management-of-female-malignant-ovarian-germ-cell-tumours-scientific-impact-paper-no52/]   Back to citation no. 1  

5.

Pauniaho SL, Salonen J, Helminen M, Vettenranta K, Heikinheimo M, Heikinheimo O. The incidences of malignant gonadal and extragonadal germ cell tumors in males and females: A population-based study covering over 40 years in Finland. Cancer Causes Control 2012;23(12):1921–7. [CrossRef] [Pubmed]   Back to citation no. 1  

6.

Schwartz PE, Morris JM. Serum lactic dehydrogenase: A tumor marker for dysgerminoma. Obstet Gynecol 1988;72(3 Pt 2):511–5. [Pubmed]   Back to citation no. 1  

7.

Gordon A, Lipton D, Woodruff JD. Dysgerminoma: A review of 158 cases from the Emil Novak Ovarian Tumor Registry. Obstet Gynecol 1981;58(4):497–504. [Pubmed]   Back to citation no. 1  

8.

Brettell JR, Miles PA, Herrera G, Greenberg H. Dysgerminoma with syncytiotrophoblastic giant cells presenting as a hydatidiform mole. Gynecol Oncol 1984;18(3):393–401. [CrossRef] [Pubmed]   Back to citation no. 1  

9.

Shaaban AM, Rezvani M, Elsayes KM, et al. Ovarian malignant germ cell tumors: Cellular classification and clinical and imaging features. Radiographics 2014;34(3):777–801. [CrossRef] [Pubmed]   Back to citation no. 1  

10.

Moore RG, Bast RC Jr. How do you distinguish a malignant pelvic mass from a benign pelvic mass? Imaging, biomarkers, or none of the above. J Clin Oncol 2007;25(27):4159–61. [CrossRef] [Pubmed]   Back to citation no. 1  

11.

Prat J; FIGO Committee on Gynecologic Oncology. Staging classification for cancer of the ovary, fallopian tube, and peritoneum. Int J Gynaecol Obstet 2014;124(1):1–5. [CrossRef] [Pubmed]   Back to citation no. 1  

12.

Billmire DF, Cullen JW, Rescorla FJ, et al. Surveillance after initial surgery for pediatric and adolescent girls with stage I ovarian germ cell tumors: Report from the Children’s Oncology Group. J Clin Oncol 2014;32(5):465–70. [CrossRef] [Pubmed]   Back to citation no. 1  

13.

National Comprehensive Cancer Network. Clinical Practice Guidelines in Oncology Version 3. 2021. NCCN; 2021. [Available at: https://www.nccn.org/professionals/physician_gls/pdf/ovarian.pdf]   Back to citation no. 1  

SUPPORTING INFORMATION


Author Contributions

Jo Ellen Fresia - Drafting the work, Revising the work critically for important intellectual content, Final approval of the version to be published, Agree to be accountable for all aspects of the work in ensuring that questions related to the accuracy or integrity of any part of the work are appropriately investigated and resolved.

Brendan Boe - Conception of the work, Design of the work, Drafting the work, Final approval of the version to be published, Agree to be accountable for all aspects of the work in ensuring that questions related to the accuracy or integrity of any part of the work are appropriately investigated and resolved.

Christopher Breed - Conception of the work, Design of the work, Drafting the work, Final approval of the version to be published, Agree to be accountable for all aspects of the work in ensuring that questions related to the accuracy or integrity of any part of the work are appropriately investigated and resolved.

Miriam Post - Analysis of data, Revising the work critically for important intellectual content, Final approval of the version to be published, Agree to be accountable for all aspects of the work in ensuring that questions related to the accuracy or integrity of any part of the work are appropriately investigated and resolved.

Carolyn Lefkowits - Conception of the work, Design of the work, Drafting the work, Revising the work critically for important intellectual content, Final approval of the version to be published, Agree to be accountable for all aspects of the work in ensuring that questions related to the accuracy or integrity of any part of the work are appropriately investigated and resolved.

Guaranter of Submission

The corresponding author is the guarantor of submission.

Source of Support

None

Consent Statement

Written informed consent was obtained from the patient for publication of this article.

Data Availability

All relevant data are within the paper and its Supporting Information files.

Conflict of Interest

Authors declare no conflict of interest.

Copyright

© 2022 Jo Ellen Fresia et al. This article is distributed under the terms of Creative Commons Attribution License which permits unrestricted use, distribution and reproduction in any medium provided the original author(s) and original publisher are properly credited. Please see the copyright policy on the journal website for more information.