Case Report


Antenatal imaging of retinoic acid embryofetopathy: A case report and review of literature

,  ,  ,  ,  

1 Department of Medicine, Cheikh Anta Diop University of Dakar, Dakar, Senegal

2 Obstetrics and Gynecology Department, National Hospital Center Dalal Jamm, Dakar, Senegal

Address correspondence to:

Mame Diarra Ndiaye

Cheikh Anta Diop University of Dakar, Dalal Jamm National Hospital Center; Dakar,

Senegal

Message to Corresponding Author


Article ID: 100190Z08MN2025

doi: 10.5348/100190Z08MN2025CR

Access full text article on other devices

Access PDF of article on other devices

How to cite this article

Ndiaye MD, Leye M, Sall NR, Cisse L, Gueye M. Antenatal imaging of retinoic acid embryofetopathy: A case report and review of literature. J Case Rep Images Obstet Gynecol 2025;11(1):1–5.

ABSTRACT


Isotretinoin is a derivative of vitamin A that has been implicated in the occurrence of fetal abnormalities since the 1980s. The reported abnormalities involve the heart, face, and central nervous system. All of the described malformations have been identified postnatally. This case describes prenatal imaging of an embryofetopathy. The patient was a 29-year-old primigravida. She had a history of acne treated with isotretinoin. After missing 3 contraceptives pills, she experienced amenorrhea. An ultrasound performed at 22 weeks of gestation revealed cerebellar vermis agenesis, thymus aplasia, agenesis of pulmonary valves, and ear abnormalities. This is the first time that pulmonary valve agenesis has been described within the spectrum of isotretinoin-related malformations. Pulmonary agenesis was the only conotruncal heart defect not yet described in isotretinoin embryopathy. From this observation, we can recommend an investigation of isotretinoin exposure in any case of conotruncal heart defect without 22q11 deletion.

Keywords: Birth defects, Embryofetopathy, Isotretinoin, Ultrasound imaging

Introduction


Isotretinoin is an active substance used in the treatment of acne. It is a retinoid, meaning a derivative of vitamin A. It is generally reserved for the treatment of severe acne that is resistant to antibiotics combined with topical treatments [1]. Since a series of 21 malformations published by Lammer et al., the teratogenic risk associated with isotretinoin has been well established [2]. Administered during the periconceptional period, isotretinoin can cause severe birth defects. The malformations observed in cases of exposure to retinoic acid include, among others, abnormalities of the ear, central nervous system, thymus, and heart. Additionally, miscarriages have been reported. In the absence of structural organ abnormalities, 30–60% of neurodevelopmental disorders have been reported [3]. Isotretinoin appears to have a tropism for neural crest cells, leading to abnormalities of central nervous system, heart, and thymus [2].

Thus, effective contraception in women of childbearing age has been recommended when initiating isotretinoin. Since then, only rare sporadic cases have been reported.

All previously described malformations have been reported postnatally. In this article, we describe prenatal ultrasound images of isotretinoin embryofetopathy, with a particular form of cardiac involvement. The fetus presented with severe malformations of the central nervous system and a particular form of conotruncal heart disease that has not yet been described.

Case Report


This study took place in a tertiary maternity unit of Dalal Jamm Hospital, in Dakar, Senegal in 2023.

The patient was a 29-year-old primigravida. She presented in our tertiary unit for morphological ultrasound at 22 weeks. She had no surgical history. She was being treated for acne in the dermatology department with Roaccutane (isotretinoin) at 20 mg daily. She was taking contraception based on estrogen-progestin pills. Amenorrhea occurred after she delayed taking her pills for eight days. There was no consanguinity in the couple or history of genetic abnormalities.

The patient was referred at 22 weeks of gestation for special morphological ultrasound due to first-trimester retinoid exposure.

Clinical examination was normal, with blood pressure at 115/70 mmHg, and the uterine height measured 21 cm.

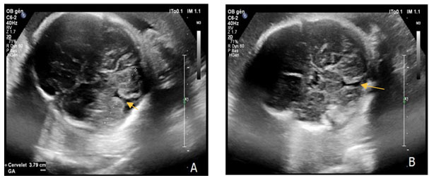
Ultrasound revealed a eutrophic fetus with an estimated fetal weight in the 48th percentile. At the cephalic pole, we observed a complete agenesis of the cerebellar vermis (Figure 1) without other associated brain abnormalities. The ear pavilion was anteverted, detached, and bulging (Figure 2).

In the thorax, there was a situs solitus with normal cardiac orientation. Morphological assessment of the heart revealed an overriding aorta with a ventricular septal defect (VSD) and dilated right ventricle (Figure 3) and moderate pulmonary trunk dilation (Figure 4). Thymus aplasia was also observed. Other organs appeared normal.

Thus, the anomalies observed were consistent with those described in retinoid fetopathies:

• Morphological ear abnormalities;

• Complete agenesis of the median vermis; and

• A conotruncal heart defect characterized by pulmonary valve agenesis.

Termination of pregnancy was not proposed as, according to local law, it is prohibited in cases of fetal abnormalities. Regular follow-up was conducted. At 36 weeks of gestation, the patient delivered spontaneously at a level II healthcare facility. The parents opted out of further medical care. The mother informed our team of the death of newborn on day 7.

Figure 1: Neurosonography showing cerebellum and complete agenesis of cerebellar vermis (A, B), measurement of cerebellum (A). The yellow arrow shows the cerebellar vermis agenesis with a communication between the 4th ventricle and the cisterna magna.

Share Image:

Figure 2: Anteverted and bulging ear pavilion. The yellow arrow shows the auricle which is anteverted and deformed by bulging forward. The red arrow shows the cephalic pole.

Share Image:

Figure 3: Overriding aorta with ventricular septal defect and dilated right ventricle. Yellow arrow shows dilated right ventricle. Red arrow shows overriding aorta.

Share Image:

Figure 4: Three vessels view and trachea. Yellow arrow shows dilated pulmonary artery measuring 8.4 mm, red arrow shows aorta measuring 3.7 mm and blue arrow shows superior vena cava with approximately the same size than aorta.

Share Image:

Discussion


The teratogenic effects of retinoic acid are well documented [1],[4]. The risk of embryofetopathy ranges from approximately 14–35% [4],[5] following isotretinoin exposure during the first trimester, with daily doses between 0.5 and 1.5 mg/kg [2],[5]. Studies suggest also spontaneous abortion in approximately 7% of exposures [1],[6]. The largest series was published in 1985, involving 154 women exposed to isotretinoin and 21 malformed children described postnatally [2]. So, it is well known that isotretinoin exposure during pregnancy induces birth defect, spontaneous abortion, or neurodevelopmental delay [2],[7],[8]. Despite all reported cases, a substantial proportion of pregnant women are exposed to isotretinoin. Autret-Leca et al. reported, between 2003 and 2006, 147 cases of isotretinoin exposure during the teratogenic risk period [9]. Teratogenic period risk is defined as one month before conception and during pregnancy [9]. Prevention is recommended, including pregnancy testing before prescription and effective contraceptive method for women of childbearing age. As our case has highlighted, the cases currently reported are rather due to non-compliance with contraceptive recommendations or forgetfulness [9].

Case reports have documented the postnatal spectrum of isotretinoin-related malformations. Malformations of the central nervous system, cephalic pole, and heart defect have been reported. Table 1 summarizes the types of malformations by affected organ and their prevalence (Table 1) [1],[2],[4],[5].

Posterior fossa cava malformations are most commons central nervous system abnormalities in isotretinoin fetopathy. Cerebellar vermis agenesia or hypoplasia and cerebellar hypoplasia are reported in 41.7% of isotretinoin fetopathy [1],[2],[4],[5]. In the present case a cerebellar vermis agenesia was noted. Moreover, hydrocephalus is reported in 37.5% cases.

Anotia or microtia are characteristics of isotretinoin fetopathy. These anomalies are described in 70.8% of cases. Also, stenosis of the external auditory canal is described in more than half of the cases (54.8%) [1],[2],[4],[5]. We described another form of anomaly of the ear pavilion, a normal size but abnormal shaped of ears.

This allows us to conclude that ear anomalies can take different forms in isotretinoin fetopathy. It is therefore necessary to look for exposure when ear abnormalities are detected on antenatal ultrasound.

In more than half of the cases described (58.4%), conotruncal heart defect or transposition of the great vessels was noted. Conotruncal heart disease included tetralogy of Fallot, double outlet right ventricle, ventricular septal defect, truncus arteriosus, aortic arch interrupted, and open septum pulmonary atresia [1],[2],[4],[5].

Furthermore, we describe a previously unreported form of conotruncal heart defect related to isotretinoin exposure: pulmonary valve agenesis. This is the only conotruncal heart defect not yet described in isotretinoin fetopathy.

Therefore, in any case of conotruncal heart defect associated with craniofacial and brain anomalies, isotretinoin exposure during the first trimester or pre-conception months should be considered.

Intake of 13-cis-RA (isotretinoin or Accutane) during pregnancy leads to teratogenic effects. The threshold dose that causes teratogenicity is unknown. But it is well recognized that abnormal migration of cranial-neural crest cells or a defect in early axial patterning cause many defects [10].

Therefore, effective contraception must be prescribed taking into account the risk of forgetting pills.

Table 1: Features of embryofetopathies related to isotretinoin

Share Image:

Conclusion


This article is the first to describe the prenatal ultrasound findings of isotretinoin fetopathy. It also reports new variants of previously described abnormalities, particularly involving the ears and heart. The association of a conotruncal heart defect with craniofacial and brain anomalies should prompt investigation of isotretinoin exposure during the periconceptional period.

Contraceptive measures should be rigorously monitored, with effective communication regarding the risks of severe embryofetopathy.

REFERENCES


1.

Patraquim C, Silva A, Pereira Â, Gonçalves-Rocha M, Fernandes J, Pereira A. Isotretinoin embryopathy: Report of one case. Journal of Pediatric and Neonatal Individualized Medicine 2016;5(1):e050108 [CrossRef]   Back to citation no. 1  

2.

Lammer EJ, Chen DT, Hoar RM, et al. Retinoic acid embryopathy. N Engl J Med 1985;313(14):837–41. [CrossRef] [Pubmed]   Back to citation no. 1  

3.

Choi JS, Koren G, Nulman I. Pregnancy and isotretinoin therapy. CMAJ 2013;185(5):411–3. [CrossRef] [Pubmed]   Back to citation no. 1  

4.

Dai WS, LaBraico JM, Stern RS. Epidemiology of isotretinoin exposure during pregnancy. J Am Acad Dermatol 1992;26(4):599–606. [CrossRef] [Pubmed]   Back to citation no. 1  

5.

Mondal D, R Shenoy S, Mishra S. Retinoic acid embryopathy. Int J Appl Basic Med Res 2017;7(4):264–5. [CrossRef] [Pubmed]   Back to citation no. 1  

6.

Orphanet. Isotretinoin syndrome. [Available at:www.orpha.net]. Last update: May 2006, last access:July 2024.   Back to citation no. 1  

7.

Koren G, Edwards MB, Miskin M. Antenatal sonography of fetal malformations associated with drugs and chemicals: A guide. Am J Obstet Gynecol 1987;156(1):79–85. [CrossRef] [Pubmed]   Back to citation no. 1  

8.

Abbott BD, Hill LG, Birnbaum LS. Processes involved in retinoic acid production of small embryonic palatal shelves and limb defects. Teratology 1990;41(3):299–310. [CrossRef] [Pubmed]   Back to citation no. 1  

9.

Autret-Leca E, Kreft-Jais C, Elefant E, et al. Isotretinoin exposure during pregnancy: Assessment of spontaneous reports in France. Drug Saf 2010;33(8):659–65. [CrossRef] [Pubmed]   Back to citation no. 1  

10.

Ross SA, McCaffery PJ, Drager UC, De Luca LM. Retinoids in embryonal development. Physiol Rev 2000;80(3):1021–54. [CrossRef] [Pubmed]   Back to citation no. 1  

SUPPORTING INFORMATION


Author Contributions

Mame Diarra Ndiaye - Conception of the work, Design of the work, Acquisition of data, Analysis of data, Drafting the work, Revising the work critically for important intellectual content, Final approval of the version to be published, Agree to be accountable for all aspects of the work in ensuring that questions related to the accuracy or integrity of any part of the work are appropriately investigated and resolved.

Mohamed Leye - Conception of the work, Design of the work, Acquisition of data, Analysis of data, Drafting the work, Revising the work critically for important intellectual content, Final approval of the version to be published, Agree to be accountable for all aspects of the work in ensuring that questions related to the accuracy or integrity of any part of the work are appropriately investigated and resolved.

Ndèye-Racky Sall - Conception of the work, Design of the work, Acquisition of data, Analysis of data, Drafting the work, Revising the work critically for important intellectual content, Final approval of the version to be published, Agree to be accountable for all aspects of the work in ensuring that questions related to the accuracy or integrity of any part of the work are appropriately investigated and resolved.

Lissoune Cisse - Conception of the work, Design of the work, Acquisition of data, Analysis of data, Drafting the work, Revising the work critically for important intellectual content, Final approval of the version to be published, Agree to be accountable for all aspects of the work in ensuring that questions related to the accuracy or integrity of any part of the work are appropriately investigated and resolved.

Mamour Gueye - Conception of the work, Design of the work, Acquisition of data, Analysis of data, Drafting the work, Revising the work critically for important intellectual content, Final approval of the version to be published, Agree to be accountable for all aspects of the work in ensuring that questions related to the accuracy or integrity of any part of the work are appropriately investigated and resolved.

Guaranter of Submission

The corresponding author is the guarantor of submission.

Source of Support

None

Consent Statement

Written informed consent was obtained from the patient for publication of this article.

Data Availability

All relevant data are within the paper and its Supporting Information files.

Conflict of Interest

Authors declare no conflict of interest.

Copyright

© 2025 Mame Diarra Ndiaye et al. This article is distributed under the terms of Creative Commons Attribution License which permits unrestricted use, distribution and reproduction in any medium provided the original author(s) and original publisher are properly credited. Please see the copyright policy on the journal website for more information.