Case Report


Mesh infection after umbilical hernia repair in a pregnant female

,  ,  ,  

1 Department of Obstetrics and Gynecology, Summa Health, Akron, Ohio, USA

2 Northeast Ohio Medical University, Rootstown, Ohio, USA

Address correspondence to:

Renae Jackson

MD, Department of Obstetrics and Gynecology, Summa Health, 141 N Forge St, Akron OH 44304,

USA

Message to Corresponding Author


Article ID: 100148Z08RJ2023

doi: 10.5348/100148Z08RJ2023CR

Access full text article on other devices

Access PDF of article on other devices

How to cite this article

Jackson R, Rehman S, Hill K, Graham J. Mesh infection after umbilical hernia repair in a pregnant female. J Case Rep Images Obstet Gynecol 2023;9(1):63–66.

ABSTRACT


Introduction: Acute abdominal findings occur in about 1 in 500 pregnancies. Diagnosis of acute abdominal findings in pregnancy can be difficult due to the physiologic and anatomic changes that are intrinsic to pregnancy. In pregnancy, the presence or recurrence of umbilical hernia is common and should be included in the differential diagnosis for acute abdominal findings. Few cases have been reported of complications post-hernia repair during subsequent pregnancies.

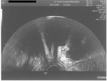
Case Report: We report the case of a 31-year-old female with a history of an umbilical hernia repair who presented with acute abdominal findings at 22 weeks gestation attributed to delayed infection of surgical mesh.

Conclusion: This patient’s presentation of acute abdominal findings during pregnancy with a history of umbilical hernia repair one year prior required exclusion of both obstetric and non-obstetric causes to determine diagnosis. There is little published evidence to guide Ob/Gyn physicians in counseling patients on the impact of pregnancy on prior umbilical hernia mesh repair. This case emphasizes the need for surveillance for mesh related complications during subsequent pregnancies in women with a history of mesh umbilical hernia repair.

Keywords: Infected mesh, Mesh repair, Pregnancy, Umbilical hernia

SUPPORTING INFORMATION


Author Contributions

Renae Jackson - Analysis of data, Interpretation of data, Drafting the article, Revising it critically for important intellectual content, Final approval of the version to be published

Sahar Rehman - Substantial contributions to conception and design, Acquisition of data, Revising it critically for important intellectual content, Final approval of the version to be published

Kylan Hill - Substantial contributions to conception and design, Revising it critically for important intellectual content, Final approval of the version to be published

James Graham - Substantial contributions to conception and design, Revising it critically for important intellectual content, Final approval of the version to be published

Guaranter of Submission

The corresponding author is the guarantor of submission.

Source of Support

None

Consent Statement

Written informed consent was obtained from the patient for publication of this article.

Data Availability

All relevant data are within the paper and its Supporting Information files.

Conflict of Interest

Authors declare no conflict of interest.

Copyright

© 2023 Renae Jackson et al. This article is distributed under the terms of Creative Commons Attribution License which permits unrestricted use, distribution and reproduction in any medium provided the original author(s) and original publisher are properly credited. Please see the copyright policy on the journal website for more information.